En pacientes con una lesión ósea, la más importante decisión diagnóstica es definir si dicha lesión es benigna o maligna. En el diagnóstico diferencial también deben considerarse las lesiones seudotumorales. Las técnicas de radiología convencional siguen teniendo una importancia fundamental en el estudio de los tumores óseos. Los hallazgos radiológicos proporcionan una información diagnóstica importante respecto al comportamiento agresivo o no (tasa de crecimiento) de las lesiones subyacentes. Estas características, cuando se combinan con la información relacionada con la localización o la distribución en el esqueleto, permiten proporcionar uno o varios diagnósticos que son más probables para un determinado paciente. También es esencial la información clínica, incluida la edad del paciente complementada; en algunos casos, con datos de laboratorio. Aunque la clínica y los hallazgos radiológicos nos permiten formular un diagnóstico razonable en la mayoría de los casos, ante una lesión ósea de características radiológicas agresivas, se precisa del estudio histopatológico reglado para confirmar el diagnóstico1,2.
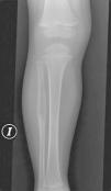
Presentamos el caso de un varón de 2 años y 11 meses, remitido a las consultas de oncohematología pediátrica y traumatología para estudio de una lesión ósea localizada en el peroné izquierdo. Tercer hijo de padres no consanguíneos, gestación a término, parto por cesárea por no evolución y en tratamiento ortopédico por pies valgos reductibles. Antecedentes familiares sin interés patológico. Quince días antes de la consulta, el niño sufre un traumatismo banal en esa pierna, presentando 48h después fiebre de 38°C axilar y deposiciones diarreicas que ceden espontáneamente. Dos días más tarde comienza con dolor en la región externa de la pierna izquierda que le impide la correcta deambulación. Durante este tiempo recibe, en régimen ambulatorio, antibioterapia con amoxicilina y claritromicina sin presentar mejoría; por lo que tras la realización de una radiografía AP y lateral de la pierna izquierda, en la que se objetiva una lesión lítica localizada en la diáfisis del peroné izquierdo de aproximadamente 6cm, que rompe la cortical y con reacción perióstica (fig. 1), es remitido a nuestro hospital. En la exploración física destaca una tumefacción en la región externa de la pierna izquierda sin otros signos locales de inflamación (no calor ni rubor), dolor a la palpación en dicha localización, sin heridas aparentes y cojera al apoyar el miembro afectado. Con los datos clínicos y las características radiológicas de agresividad de la lesión ósea, se solicitan diferentes exámenes complementarios en los que destacan una hemoglobina de 11,4g/dl con microcitosis, hipocromía discreta y anisocitosis, 8.700/μl leucocitos (neutrófilos 4.900/μl; linfocitos 2.650/μl), PCR normal (3mg/l), VSG de 32mm/h, perfil bioquímico incluida lactato deshidrogenasa y ferritina, inmunoglobulinas, complemento y coagulación normales, y serologías (virus de Epstein-Barr, citomegalovirus y parvovirus) negativas. La resonancia magnética confirma la lesión de la diáfisis del peroné izquierdo de 10 x 1,5 x 2cm, que expande y rompe la cortical, con importante reacción perióstica, muy sugestiva de lesión agresiva, con pequeña cantidad de edema/afectación de partes blandas, y que capta contraste tras la administración de gadolinio (fig. 2). El diagnóstico diferencial radiológico baraja la posibilidad de un sarcoma de Ewing (SE) versus osteomielitis, y considerar osteosarcoma o granuloma eosinófilo (GEo), como otras posibilidades más remotas. La gammagrafía ósea con 99Tc pone de manifiesto la lesión ósea en la mitad superior diafisaria del peroné izquierdo, con incremento de vascularización, sin observar otras captaciones patológicas, y no descarta ninguno de los diagnósticos referidos. Ante todos estos hallazgos, se realiza una biopsia de la lesión por punción (trucut), informada como tejido reactivo/reparativo en posible relación con una fractura previa. El cultivo de esta y el estudio molecular de SE resultaron negativos. Dada la disociación clínico-radiológica e histológica, se decide realizar una biopsia abierta, que confirma el diagnóstico definitivo de GEo. Tras la confirmación diagnóstica, se adopta una actitud expectante, objetivándose una evolución clínica y radiológica del todo favorable.
Desde el punto de vista clínico-radiológico, para cualquier lesión lítica agresiva en las extremidades inferiores de un niño, siempre deben considerarse cuatro diagnósticos diferenciales:
- –
La osteomielitis hematógena, con una frecuencia de un caso por cada 5.000 niños, habitualmente acompañada de fiebre, dolor y elevación de reactantes de fase aguda (PCR y VSG), aunque hasta el 50% de los neonatos y los lactantes pequeños no presentan fiebre1,2.
- –
El SE, con 2 casos por 106 habitantes, más frecuente entre los 5 y 30 años; y mucho menos frecuente en menores de 3 años (0,3 casos por 106 habitantes)3-5.
- –
El osteosarcoma, bastante raro en niños menores de 5 años (0,5 casos por 106 habitantes), siendo más frecuente en mayores de 10 años (8 casos por 106 habitantes), aunque el 70% de estos presentan zonas blásticas2-5.
- –
El GEo, casi exclusivo de menores de 30 años, aunque solo un 30% de los casos se dan en huesos largos, y menos aún en huesos largos por debajo de las rodillas, como en nuestro paciente. Para mayor dificultad diagnóstica, puede presentar cualquier aspecto radiológico1,6-8.
Desde el punto de vista clínico, el GEo puede o no ser doloroso y raramente asocia fiebre y/o leucocitosis y aumento de reactantes de fase aguda6.
El GEo tiene muchas apariencias radiológicas. Puede ser lítico o blástico, bien o mal definido, puede tener o no un borde esclerótico y puede producir o no una reacción perióstica. Con cierta frecuencia, como en nuestro caso, se muestra como una lesión lítica, de bordes mal definidos, que ensancha la cortical y asocia masa de partes blandas, en toda apariencia similar al SE. Por lo tanto, el GEo es el «gran imitador» de los tumores óseos pediátricos y, como la osteomielitis, debe incluirse en el diagnóstico diferencial de las lesiones óseas infantiles, sobre todo en menores de 12 años. En la localización craneal suelen tener la típica imagen radiológica «en sacabocado». En los huesos largos, dos hallazgos pueden ser de utilidad para intentar diferenciarlo del SE: a) el GEo, la osteomielitis y el fibrosarcoma son las tres únicas entidades en las que se describe el secuestro óseo, y b) el GEo suele presentar menor masa de partes blandas adyacente que los SE; aunque esta última característica no es muy fiable para hacer el diagnóstico diferencial1-2,5-9.
Histológicamente, en el GEo predominan los eosinófilos y, sobre todo, los histiocitos. Esta apariencia histológica de células redondas hace difícil la distinción de otras condiciones inflamatorias, como la osteomielitis, y los tumores de células redondas pequeñas, como los de la familia Ewing. Las técnicas de inmunohistoquímica (positividad del S100 y CD1a) y/o el hallazgo de gránulos de Birbeck en las células de la lesión por microscopio electrónico resultan de gran utilidad6.
El tratamiento clásico del GEo incluye el raspado, aunque, como han publicado multitud de autores, el trauma que representa la biopsia puede inducir la maduración de las células remanentes, condicionando la evolución espontánea favorable. Con todo, si se lleva a cabo un curetaje completo, la lesión raramente recidiva6,10. Otras alternativas de tratamiento son la inyección de corticoide intralesional o el uso de dosis bajas de radioterapia (400 a 1.000 CGy)6. La probabilidad de supervivencia para el GEo es cercana al 100%. El pronóstico para cualquier niño se relaciona con la magnitud de afectación, el lugar y la edad a la presentación8.
En resumen, dentro de las posibilidades diagnósticas de una lesión ósea en huesos largos con características radiológicas agresivas, sobre todo en un niño pequeño, siempre debe estar el GEo. La biopsia de la lesión será siempre necesaria para confirmar el diagnóstico.




