We present the case of a male neonate aged 25 days with an unremarkable obstetric history who developed episodes of cyanosis. The patient presented with respiratory distress, cyanotic breath-holding spells and cough with inspiratory stridor and bilateral hypoventilation in absence of crackles or wheezing on auscultation. The venous blood gas analysis evinced mixed metabolic and respiratory acidosis, while the findings of the complete blood count were normal and the results of PCR testing for multiple respiratory viruses were negative. The patient was admitted to the neonatal intensive care unit due to suspicion of acute bronchiolitis.
The chest radiograph showed complete opacity of the right upper lobe (Fig. 1), while the findings of serial lung ultrasound scans were normal (Fig. 2A). The chest ultrasound examination with a supraclavicular approach showed a well-defined area of consolidation suggestive of a thoracic mass (Fig. 2B and Appendix B, Video 1), which was corroborated in the CT scan (Fig. 3). Examination of a biopsy specimen confirmed the diagnosis of congenital neuroblastoma.
Chest radiograph. (A) Anteroposterior view. Complete opacity of right upper lobe with mediastinal shift toward the left side, with adequate aeration of all other lung fields and absence of pleural effusion. (B)Lateral view. Opacity in the posterior segment of the right upper lobe with nodular morphology.
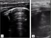
Chest ultrasound scan performed with a high-frequency linear transducer. (A) Longitudinal scan at the level of the anterior lung fields. Adequate lung sliding, normal aeration in every lung field, with presence of A-lines and a lung ultrasound score of zero. (B) Right supraclavicular fossa view. Consolidation without air bronchogram or contrast enhancement on Doppler with a well-demarcated, deep and round border and a maximum diameter of 6cm.
Thoracic CT scan with intravenous contrast. Mass in the posterior mediastinum measuring 4.6×4.3×6.3cm, with heterogeneous enhancement, small calcifications within and exerting a mass effect with displacement of adjacent structures and compression of the right upper lobe. (A) Coronal plane. (B) Sagittal plane.
Five percent of neuroblastomas manifest in the neonatal period,1 of which up to 15% are located in the thorax2 and may cause respiratory distress and stridor. The initial suspicion of complicated bronchiolitis with pneumonia or atelectasis, based on the radiographic findings, was reconsidered in light of the normal findings of the lung ultrasound, which prompted assessment of other regions. Discrepancies between different imaging modalities should lead to suspicion of alternative diagnoses.3 Although thoracic masses are rare in newborn infants, evidence of consolidation in the chest X ray combined with normal lung ultrasound findings can suggest this diagnosis.


