Vaginal discharge is a common gynaecological complaint in prepubertal girls that is frequently caused by vulvovaginitis.1,2 In most cases, the aetiology is nonspecific and the problem resolves with hygiene measures.1,2 However, other possible causes should be considered when symptoms persist or relapse, such as infection, congenital abnormalities, trauma, allergic reactions, dermatologic conditions or the presence of foreign bodies.1,2
We present the case of a girl aged 5 years, otherwise healthy, that presented to the emergency department complaining of recurrent purulent vaginal discharge and intermittent bleeding of 8 months’ duration.
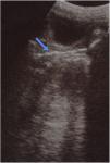
There was no history of trauma, sexual abuse, soreness, urinary or rectal complaints. The symptoms did not respond to hygiene measures and appropriate antibiotic therapy. The physical examination revealed no abdominal tenderness and normal external genitalia, with no lesions or active discharge. However, there was a bloody and foul-smelling discharge on the sanitary pad. A pelvic ultrasound scan (Fig. 1) and a pelvic radiograph (Fig. 2) revealed the presence of a foreign body measuring 40×10mm. The patient underwent vaginoscopy under anaesthesia for removal of a hair clip.
Vaginal foreign bodies are a rare cause of relapsing or treatment-resistant vulvovaginitis, accounting for only 4% of cases in prepubertal girls.3 Their presence usually manifests with a purulent, foul-smelling vaginal discharge and/or intermittent bleeding.1,2 Potential complications include ulceration of the vaginal wall with formation of fistulae and infection.3 Almost all cases reported in the literature occurred in the paediatric age group, which presents a diagnostic challenge and highlights the importance of imaging tests in the approach to diagnosis.3




