Niña de 22 meses, sin antecedente traumático previo, que presenta una tumoración indolora en cara posterior de muslo izquierdo. La masa es de consistencia leñosa, sin signos inflamatorios.
El hemograma, la bioquímica sérica, el estudio de coagulación y la velocidad de sedimentación glomerular son normales.
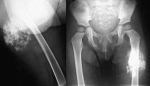
En la radiografía simple se aprecia una tumoración de partes blandas bien delimitada, de unos 8 x 5cm, con múltiples calcificaciones groseras internas (Figura 1).
Figura 1.
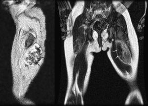
En la RM la masa está contenida en el bíceps crural izquierdo, sin afectación ósea asociada (Figura 2). Internamente se apreciaban áreas irregulares de vacío de señal (Figura 3) (hipointensas en todas las secuencias), secundarias a la presencia de calcificaciones (flechas).
Figura 2.
Figura 3.
La miositis osificante circunscrita es una formación ósea heterotópica, no neoplásica, en los tejidos blandos, sin signos de inflamación. Suele asociarse a un traumatismo previo, aunque en un tercio de los casos no está presente o no es reconocido. En la edad pediátrica es muy infrecuente y se presenta sobre todo entre la segunda y la tercera décadas. En el 80% de los casos afecta a las extremidades inferiores1.
En la radiografía simple a las 2-6 semanas se aprecia una calcificación tenue, a partir de las 6 semanas aparece una masa circunscrita con calcificación periférica. Característicamente, tiene un anillo periférico calcificado y centro radiotransparente, a diferencia del osteosarcoma paraostal, que presenta una calcificación central y periferia radiotransparente2, 3, 4.
El diagnóstico definitivo es mediante biopsia, que descarta la malignidad del proceso1, 2, 3, 4. En esta paciente, tras la confirmación anatomopatológica, se realizó la exéresis quirúrgica de la tumoración.
Autor para correspondencia. aazagram@gmail.com





