Sr. Editor:
La obliteración portal con transformación cavernomatosa de la vena porta (TCVP) es una enfermedad poco frecuente en la edad pediátrica; sin embargo, es la causa más frecuente de hipertensión portal (HTP) en la infancia1. El nombre viene atribuido al aspecto angiográfico que presentan las colaterales que se establecen alrededor de la vena porta debidas, en el caso de los niños, a la obstrucción por malformaciones vasculares o trombosis1. Por lo excepcional del cuadro, y aunque la presentación clínica es muy característica y con escasa variabilidad, el diagnóstico suele hacerse de forma tardía, lo que queda reflejado por la edad en el momento del diagnóstico definitivo, que en la mayoría de los casos ocurre entre los 10 y los 14 años2,3.
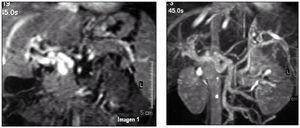
Una niña de 6 años, en el contexto de un cuadro febril de 3 días de evolución, presenta melenas y vómitos en poso de café con dolor abdominal. Exploración: peso, 18 kg (P3); talla, 114 cm (P25); frecuencia cardíaca, 180 lat./min; frecuencia respiratoria, 20 resp./ min, y presión arterial, 102/60 mmHg. Palidez cutáneo-mucosa. Taquicardia rítmica, soplo sistólico II/VI. Abdomen blando, doloroso difusamente a la palpación profunda y esplenomegalia de 3 cm. El resto es normal. Hemograma: leucocitos, 5.080/μl (fórmula normal); hemoglobina, 6,5 g/dl; hematocrito, 18,5 %; plaquetas, 136.000/μl. Urea, 30 mg/dl; glucosa, 95 mg/dl; creatinina, 0,5 mg/dl; proteínas totales, 5,2 g/dl; fibrinógeno, 298 mg/dl. GOT, 40 U/l; GPT, 19 U/l. Coagulación normal. Ecografía abdominal: aumento de la vascularización del hilio hepático con imagen de aspecto varicoso. Troncos principales con flujos venosos que confluyen en la vena esplénica con algunos vasos gruesos que están relacionados con la circulación de la curvatura menor gástrica. Tronco celíaco normal e imagen de arteria hepática entre vasos del hilio. Angiografía por resonancia magnética (RM) (fig. 1A y B): canales vasculares serpiginosos en la localización de la vena porta, esplenomegalia y varices adyacentes al polo superior del bazo con drenaje a vena mesentérica superior y vena renal izquierda (cortocircuito).
Figura 1. Angiografía por resonancia.A)Imagen axial potenciada en T1 con contraste. Se observan los canales vasculares serpiginosos en la localización de la vena porta, indicativo de cavernomatosis portal. Presencia de áreas hipotensas e hipertensas debido a las distintas velocidadesde flujo y canales trombosados.B)Imagen coronal en proyección de máxima intensidad. Se observa toda la circulación portal, las varices adyacentes al polo superior del bazo con drenaje a vena mesentérica superior y vena renal izquierda (cortocircuito). Presencia de esplenomegalia (9,7 cm de diámetro máximo). La vena cava inferior y las venas suprahepáticas no presentan anomalías.
Ingresa en planta, se monitoriza y se instaura tratamiento con omeprazol intravenoso. Presenta hemorragia recurrente y tendencia a la anemización progresiva, por lo que se traslada a la unidad de cuidados intensivos pediátricos precisando múltiples transfusiones de concentrado de hematíes hasta la estabilización clínica. La endoscopia digestiva alta muestra varices esófago-gástricas grados III/IV no sangrantes. La evolución posterior es favorable con estabilización clínico-analítica y puede ser dada de alta a las 2 semanas.
La TCVP es una entidad muy infrecuente, por lo que hay poca información sobre su etiología4,5. En algunos casos se encuentran antecedentes de riesgo en el período neonatal (cateterismo umbilical, onfalitis, cirugía abdominal, sepsis), déficit de factores de coagulación (déficit de proteína C o S) o malformaciones vasculares6, aunque también es posible que no haya causa que lo justifique y entonces recibe el nombre de CVP idiopática1 como ocurre en este caso clínico.
La principal manifestación clínica es la hemorragia digestiva (HDA) por las varices esofágicas y gástricas o la esplenomegalia asintomática, aunque puede presentar en la evolución clínica otros signos, como circulación colateral y ascitis, pero no se han descrito casos de encefalopatía portal al no existir disfunción hepatocelular2-5,7.
Las pruebas de función hepáticas y coagulación son normales. Se pueden encontrar, como hallazgos de laboratorio, anemia por sangrados y, raramente, pancitopenia por hiperesplenismo5.
La ecografía Doppler abdominal es de elección y junto a otras técnicas de imagen más complejas, como la RM hepática o angiografía arterial y venosa, permiten llegar al diagnóstico y además esta última permite determinar la extensión de la malformación2,4,5.
La endoscopia digestiva alta es fundamental para el estudio de las varices y, aunque no ayudan en el diagnóstico etiológico4, es necesaria para evidenciar su magnitud y necesidad de esclerosis o ligadura8,9.
El tratamiento inicial va encaminado al control de la HDA, para lo cual la estabilización clínica y uso de vasopresina o somatostatina logran detener la HDA en la mayoría de los casos, sin precisar la endoscopia en la fase activa10. Se recomienda, una vez ocurrida la HDA, la escleroterapia o ligadura endoscópica de las varices9,10. Cuando ha fracasado el tratamiento médico conservador puede estar recomendado el tratamiento quirúrgico derivativo y, en raras ocasiones, el trasplante hepático.
El pronóstico es bueno, aunque estos pacientes pueden presentar retraso pondoestatural con distinto grado de malabsorción intestinal, y necesitar suplementos de vitaminas liposolubles. La HDA es la complicación más frecuente y la única causa de mortalidad5 y, a pesar de las múltiples hospitalizaciones, con el tiempo disminuyen los episodios de sangrado por el desarrollo de colaterales venosas espontáneas y efectivas en descomprimir la HTP.
Correspondencia: Dra. E. Carvajal Roca.
Servicio de Pediatría. Hospital Casa de la Salud.
Dr. Manuel Candela, 41. 46021 Valencia. España.
Correo electrónico: evacarvajal@ono.com



