El hidrops vesicular agudo es una enfermedad infrecuente durante la infancia, en la que se produce una dilatación aguda de la vesícula biliar en ausencia de litiasis, infección, inflamación local o malformaciones congénitas1.
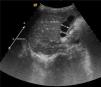
Se describe el caso de un niño de 2 años, sin antecedentes de interés, que consulta por vómitos, fiebre y deposiciones diarreicas de 3 días de evolución. Al ingreso presenta un estado de hidratación conservado, afebril, irritabilidad ante la manipulación, auscultación cardiorrespiratoria normal. El abdomen se muestra distendido, blando, depresible y sin megalias, con peristalsis aumentada. A nivel del cuadrante superior derecho del abdomen se palpa una masa dolorosa de consistencia blanda, bien delimitada y tamaño aproximado de 5cm de diámetro. En la analítica de ingreso destaca ligera elevación de la aspartato aminotransferasa: 68 U/l y de la proteína C reactiva: 12mg/l. La detección del antígeno de rotavirus en heces fue positiva. La ecografía abdominal muestra una vesícula biliar distendida con contenido espeso en su interior, sin dilatación de la vía biliar (fig. 1). Se instaura perfusión glucosalina, dieta absoluta y analgesia. A partir del tercer día del ingreso, se aprecia una mejoría clínica significativa con leve molestia a la palpación a nivel subcostal derecho; en la ecografía abdominal de control, se evidencia una disminución significativa del volumen de la vesícula biliar (fig. 2). El paciente recibe el alta hospitalaria y al mes se realiza un control ambulatorio, permaneciendo asintomático y con ecografía abdominal normal.
La presentación clínica del hidrops vesicular es inespecífica, con náuseas, vómitos y dolor abdominal que, al transcurrir las horas, se localiza a nivel del cuadrante superior derecho, inicialmente de tipo cólico, posteriormente continuo1,2.
El mecanismo es desconocido, generalmente secundario a una obstrucción transitoria y autolimitada del conducto cístico, ya sea por una hiperplasia de los ganglios linfáticos adyacentes (obstrucción mecánica) o bien por una reacción inflamatoria (linfadenitis) en la vecindad del conducto cístico1-3.
La etiología suele ser idiopática; sin embargo, se ha descrito asociada a diferentes afecciones, siendo la más frecuente la enfermedad de Kawasaki2. Suddleson et al. (1987) describieron a 16 pacientes con hidrops vesicular secundario a enfermedad de Kawasaki4. Ramos et al. (1990) aportan un caso de enfermedad de Kawasaki con hidrops vesicular5. Dinulos et al. (1994) comunicaron 2 casos de hidrops vesicular asociado a infección por virus del Epstein-Barr6. Tamayo-López et al. (1997) comunicaron 4 casos de hidrops vesicular, 3 de ellos asociados a enfermedad de Kawasaki y uno en que no se encontró enfermedad asociada2. Westrope y Acharya (2001) presentan un caso de hidrops vesicular asociado a infección por Cryptosporidium7. En marzo del 2010, Rocco et al. presentan un caso de hidrops vesicular y hepatitis asociados a escarlatina8. En febrero del 2012, Díaz Flores et al. presentan un caso de hidrops vesicular asociado a infección por Cryptosporidium9. Todos estos casos revelan la diversidad de esta entidad.
La edad de presentación es variable, puede aparecer desde el período neonatal hasta la adolescencia, con mayor frecuencia alrededor de los 5 años. El sexo masculino se encuentra más comúnmente afectado2,3.
La ecografía abdominal sigue siendo la prueba de elección en el diagnóstico de esta entidad, donde se observa la vesícula biliar distendida, en ausencia de cálculos y patología del árbol biliar. En ocasiones, puede ser útil el estudio de imagen que dibuja el árbol hepatobiliar usando Tc 99 marcado con ácido diaminoacético; este marcador presenta una rápida excreción biliar con acúmulo de la radiactividad a nivel de la vesícula biliar y puede ser de ayuda en la confirmación diagnóstica, pero no es esencial10.
Debemos tomar en consideración que el hidrops vesicular de nuestro paciente se encontró asociado a una entidad sistémica, a la infección por rotavirus, sin dejar de mencionar que existen otros factores que pueden contribuir a este aumento del tamaño vesicular, como es el ayuno prolongado y la deshidratación. Habitualmente la resolución es espontánea, con recuperación del tamaño y la forma de la vesícula biliar.
Dada la naturaleza autolimitada de esta entidad, el tratamiento inicial debe ser conservador (tratamiento de la enfermedad asociada, corrección de las alteraciones subyacentes, iniciar alimentación precoz). La resolución es espontánea, con retorno de la función de la vesícula biliar a la normalidad en pocas semanas, tan solo en casos excepcionales la colecistectomía estaría indicada cuando se producen complicaciones como vesícula biliar gangrenosa, perforación o deterioro del estado clínico.
No hemos encontrado ningún caso de hidrops vesicular agudo alitiásico en niños asociado a cuadro gastrointestinal por rotavirus en la revisión bibliográfica que hemos realizado, por lo que consideramos que esta comunicación es de particular interés.
Presentación previa en la 17.a Reunión Anual de la Sociedad Catalana de Pediatría, en Tarragona, 13 y 14 de mayo del 2011.
 
										
				





