Se presenta el caso de una adolescente de 12 años ingresada por fiebre y cefalea frontal de 5 días de evolución, con somnolencia y vómitos. En la exploración física destaca ptosis palpebral y desviación de comisura bucal izquierda.
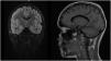
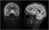
Se descarta edema de papila y se completa estudio con TC y RM cerebral (fig. 1). Por imagen se plantea, como principal sospecha diagnóstica, glioma difuso de línea media, sin poder descartarse patología inflamatoria. Por ello se completa estudio con RM con espectroscopia (RME), que no es concluyente para patología tumoral (fig. 2). Se retrasa biopsia quirúrgica y se solicita PET con metionina (no sugestiva de glioma de alto grado). Ante la sospecha de encefalitis autoinmune, se solicitan anticuerpos anti-MOG/AQP4 (negativos), y se inicia corticoterapia sistémica intravenosa1.
A los 2 meses de tratamiento se objetiva desaparición de sintomatología neurológica y mejoría radiológica importante, con resolución completa de la lesión a los 5 meses (fig. 3), confirmándose la etiología inflamatoria.
Se concluye por ello que no toda lesión intracraneal en línea media es tumoral. Herramientas como la RME son útiles para su diagnóstico diferencial2,3.
										
				




