Niño de cinco años que consulta por tumoraciones bilaterales, duras e hiperpigmentadas, localizadas en el dorso de ambos pies, de años de evolución. No presenta dolor ni limitación funcional (fig. 1).
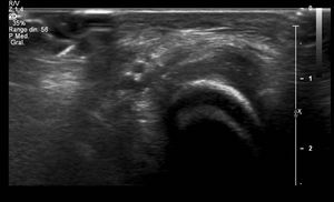
La ecografía (fig. 2) muestra un engrosamiento hipoecogénico del tejido celular subcutáneo, anterior a la articulación de Chopart, sin incremento de señal Doppler.
Los hallazgos clínicos y ecográficos son compatibles con callosidad talar, una entidad benigna poco frecuente en países occidentales1,2. Se caracteriza por la aparición de placas hiperqueratósicas indoloras en el dorso de los pies.
Se asocia con la postura de sedestación sobre rodillas y talones, con apoyo prolongado del dorso de los pies contra superficies duras (fig. 3). Recientemente, se ha propuesto el término «lego player foot» para ilustrar su aparición en niños que permanecen largos periodos en esta posición mientras juegan.
El diagnóstico es fundamentalmente clínico. La ecografía complementa el estudio permitiendo descartar otras lesiones de peor pronóstico3. No requiere tratamiento específico y suele remitir al cesar el estímulo mecánico. Es más frecuente en países asiáticos, donde es habitual andar descalzo y sentarse en el suelo.





