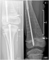
Paciente diagnosticado de osteogénesis imperfecta (OI) tipo VI, portador de mutación compuesta en SERPINF1 (c.1271-279dupl + [907C>T]; p.[Ala91_Ser93dup] + [Arg303*]). A la edad de 9 años y 8 meses, tras mala respuesta a bifosfonatos, inicia tratamiento con denosumab. Pasados 3 meses, observamos la aparición de una banda hiperdensa en ambas metáfisis femorales, con extensión en sentido craneal en forma de patrón difuso de esclerosis que asemeja la imagen de una «nube de humo». Tras 4 años de tratamiento, el ratio de fracturas no ha aumentado y no hemos observado cambios significativos en la imagen previamente descrita (fig. 1).
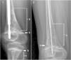
Actualmente reciben tratamiento con denosumab en nuestra unidad otros 2 pacientes con OI: un varón con OI-VI (c.273_283+1del + c.271_279dupGCCCTCTCG) y una niña con OI-III (COL1A1 607G>C). En ambos hemos observado la banda hiperdensa pero no la imagen de «nube de humo» (fig. 2).
La OI tipo VI es una forma moderada/severa de OI, descrita por primera vez por Glorieux et al.1 y causada por la mutación a nivel del gen SERPINF. Denosumab es un anticuerpo monoclonal dirigido contra la proteína RANKL, recientemente empleado en el tratamiento de la OI-VI por Semler et al.2.
Durante el crecimiento, la administración intravenosa de BF da lugar a la aparición de la clásica imagen radiológica en «líneas cebra». Denosumab incrementa la formación ósea generando una banda hiperdensa a nivel de la metáfisis3, sin embargo esta imagen en patrón difuso no había sido descrita con anterioridad, siendo quizás una expresión fenotípica relacionada con mutación específica que porta nuestro paciente.




