Introducción
La tuberculosis en España sigue siendo un problema de salud pública con tasas superiores al resto de los países desarrollados.
La prevalencia de infección tuberculosa en diversas comunidades autónomas españolas en 1998 según los datos del grupo de Tuberculosis e Infecciones Respiratorias (TIR) fue del 0,53 % en escolares de 6 años y de 4,7 % en niños de 14 años 1.
El diagnóstico de tuberculosis en la infancia es difícil, el 65 % de los casos son totalmente asintomáticos 2,3 y en un alto porcentaje no se consigue aislamiento e identificación del bacilo en muestras clínicas (2-4 % de baciloscopias positivas 1).
La tomografía computarizada (TC) multicorte permite la valoración conjunta de imágenes axiales, reconstrucciones multiplanares y navegación virtual endoscópica como nueva técnica de imagen complementaria a la fibrobroncoscopia.
Observación clínica
Varón de 37 días de vida con antecedente de gestación de 41 semanas, parto por cesárea por sufrimiento fetal agudo, que sigue alimentación con lactancia materna y calendario vacunal correcto.
La familia no presenta factores predisponentes patológicos ni epidemiológicos aunque el entorno familiar es catarral. El abuelo materno reside en la vivienda familiar sin antecedentes patológicos de interés.
El niño ingresa por primera vez a las 5 semanas de vida por fiebre alta catalogándose de proceso neumónico. La radiografía de tórax identifica condensación alveolar retrocardíaca en lóbulo inferior izquierdo. Se instaura tratamiento antibiótico con ampicilina y cefotaxima durante 10 días. La radiografía de tórax de control previa al alta muestra mejoría radiológica.
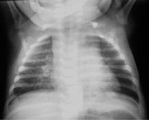
Dos semanas después reingresa por persistencia de picos febriles. La radiografía de tórax presenta múltiples focos neumónicos asociados a ensanchamiento mediastínico (fig. 1).
Figura 1. Radiografía de tórax. Infiltrados pulmonares retrocardíaco izquierdo y en lóbulo superior derecho, ensanchamiento mediastínico e hilio derecho prominente.
Se practica TC helicoidal multicorte observando un patrón micronodular difuso asociado a condensaciones en los segmentos 1 del lóbulo superior derecho, 6 y 9-10 del lóbulo inferior izquierdo con cavitaciones.
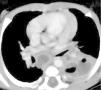
Tras administrar contraste intravenoso se identifican múltiples adenomegalias mediastínicas, de tamaño superior al centímetro de diámetro, en los espacios paratraqueal derecho, ventana aortopulmonar, subcarinal e hiliar izquierdo que realzan periféricamente con centro hipoatenuado (fig. 2).
Figura 2.Corte axial de TC tras la administración de contraste intravenoso. Adenomegalias subcarinal e hiliar izquierda con realce periférico y centro hipodenso por necrosis caseosa. Infiltrado en lóbulo inferior izquierdo cavitado y engrosamiento pleural asociado.
Los hallazgos radiográficos orientan hacia una forma de tuberculosis avanzada, aunque la prueba de tuberculina fuese negativa.
Se investiga la presencia de micobacterias en jugo gástrico, siendo la tinción de Ziehl-Neelsen positiva y confirmándose con cultivo positivo para Mycobacterium tuberculosis.
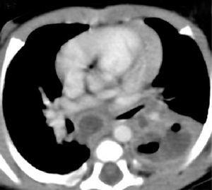
Se remite al paciente a otro centro donde se realiza fibrobroncoscopia confirmando los hallazgos de la broncoscopia virtual donde se observa reducción concéntrica del calibre de los bronquios principal izquierdo, lóbulo superior izquierdo y língula, desplazamiento de la pared medial de la pirámide basal izquierda, desplazamiento y distorsión del bronquio principal derecho e intermediario. Los bronquios del lóbulo superior y pirámide basal derechos eran normales (figs. 3 y 4).
Figura 3.TC con reconstrucción coronal. Adenopatías subcarinales que comprimen y distorsionan en bronquio principal izquierdo y bronquio intermediario derecho. Los bronquios del lóbulo superior derecho y de la pirámide basal izquierda se encuentran permeables y de calibre conservado.
Figura 4.TC de reconstrucción tridimensional con visión virtual de la luz traqueobronquial. Abombamiento de la pared del bronquio del lóbulo intermediario derecho ocasionado por las adenopatías.
Al objetivar caseum en el bronquio 6 izquierdo, se toman muestras con lavado broncoalveolar para cultivo resultando positivo, aislando M. tuberculosis.
La detección de tuberculosis en el entorno familiar fue negativo, sin llegar a determinar la fuente de contagio.
Al ingreso se instauró tratamiento antibiótico con ampicilina y cefotaxima suprimiéndose al cuarto día, iniciando tratamiento con triple asociación rifampicina (10 mg/kg/día), isoniazida (5 mg/kg/día) y piracinamida (30 mg/kg/día). Tras la fibrobroncoscopia se asoció prednisolona oral.
El paciente evoluciona favorablemente permaneciendo apirético desde las pocas horas del ingreso y con buena tolerancia alimenticia. Fue dado de alta 25 días después.
Discusión
La valoración radiológica en el diagnóstico de tuberculosis infantil requiere experiencia y cautela. El radiólogo debe tener en consideración antecedentes clínicos, epidemiológicos y analíticos y ser cuidadoso en el análisis del mediastino e hilios pulmonares ante la presencia de adenopatías, hallazgo característico de esta entidad 4,5.
Las formas ganglionares de tuberculosis pueden ser puras, adenopatías como signo aislado; sin embargo, en niños menores de 3 años es frecuente verlas asociadas a lesiones parenquimatosas pulmonares 6. Las calcificaciones pueden ayudar en el diagnóstico radiológico, pero sólo se presentan en el 15-21 % de los niños con tuberculosis y nunca en menores de 6 meses 5.
La TC es la prueba gold standard en el diagnóstico de afectación ganglionar mediastínica 5. Cuando la adenopatía alcanza los 2 cm, característicamente muestra un realce periférico tras la administración de contraste intravenoso, siendo el centro de la lesión marcadamente hipodenso por necrosis caseosa. Adenopatías mayores de 1 cm se consideran definitivamente patológicas 5.
La reacción ganglionar puede condicionar distorsión o compresión del árbol bronquial y la aparición de hiperinsuflación lobular o atelectasia. La TC helicoidal permite identificar la reducción en el calibre del bronquio de forma circunferencial lisa o como engrosamiento mural focal 7.
La afectación endobronquial es de interés en el tratamiento del paciente ya que tras la confirmación fibrobroncoscópica, debe valorarse la necesidad de añadir corticoides a la pauta farmacológica antituberculosa clásica 6.
En este sentido la TC helicoidal multicorte es una magnífica herramienta al permitir caracterizar, en un único estudio no invasivo, los hallazgos típicos de la tuberculosis primaria identificando el grado de afectación ganglionar, parenquimatosa y endobronquial.
La broncoscopia virtual es una nueva técnica de imagen que complementa a la fibrobroncoscopia. Se obtiene a partir del posprocesado de imágenes adquiridas al realizar la TC helicoidal torácica, sin irradiación adicional. El tiempo de adquisición de las imágenes es de 8 s y la dosis de radiación es mínima con intensidades bajas (entre 25-170 mA) 8.
Gracias a la disponibilidad de programas informáticos que permiten la creación de un modelo tridimensional del árbol traqueobronquial podemos realizar la navegación endoscópica virtual en el interior de la vía aérea simulando la visión obtenida por una fibrobroncoscopia real 9,10. Esto se consigue en una única exploración con TC helicoidal multicorte.
Las ventajas de la broncoscopia virtual asociada a TC helicoidal frente a la fibrobroncoscopia convencional son múltiples: es un procedimiento no invasivo y mejor tolerado que la fibrobroncoscopia, habitualmente no requiere sedación y permite con un único y rápido examen la valoración conjunta del parénquima pulmonar, estructuras mediastínicas, cavidades pleurales, pared torácica, regiones axilares, supraclaviculares, esqueleto, abdomen superior y árbol traqueobronquial. En estenosis de la vía aérea en la que el fibrobroncoscopio no puede sobrepasarla, permite la valoración de bronquios distales a dicha estenosis 9,10 estudiando hasta bronquios de tercer orden 11. La valoración conjunta de imágenes axiales, reconstrucciones en tres dimensiones y navegación virtual puede revelar la extensión de una lesión endobronquial, el calibre de la vía distal y la relación entre la lesión de vía aérea y otras estructuras mediastínicas pudiendo diferenciar entre estenosis traqueobronquial endoluminal y compresión extrínseca de la vía aérea 8.
La broncoscopia virtual tiene diversas indicaciones como evaluación de estenosis de la vía respiratoria 9-12, anomalías traqueobronquiales (fístulas traqueoesofágicas) 8,13, aspiración de cuerpo extraño 10,13,14, guía de punción-aspiración transbronquial 10, valoración de traqueomalacia 10, estudio postrasplante de pulmón 13 y control postratamiento de la afectación bronquial en la tuberculosis.
Existen, sin embargo, limitaciones con respecto a la fibrobroncoscopia ya que no puede valorar la textura y color de la mucosa, ni obtener muestras de la luz bronquial para cultivo o biopsia, o extraer cuerpos extraños intrabroquiales 12.
Otro inconveniente puede resultar por la falta de colaboración para mantener la apnea en pacientes pediátricos que exige, en ocasiones, la sedación. Los artefactos de movimiento, por apneas inadecuadas y por movimientos cardíacos, pueden condicionar falsos positivos al igual que la presencia de tapones mucosos o secreciones en el árbol bronquial 10,12.
Pensamos que la TC helicoidal multicorte permite caracterizar los hallazgos de tuberculosis primaria infantil beneficiándose de la endoscopia virtual, técnica novedosa, alternativa y menos invasiva que la fibrobroncoscopia. La broncoscopia virtual objetiva el grado de afectación endobronquial en niños con tuberculosis progresiva, permitiendo instaurar el tratamiento suplementario con corticoides precozmente. Sin embargo, no hay estudios clínicos suficientes para juzgar la utilidad de este método, es necesaria más información sobre el rendimiento diagnóstico de esta técnica para poder precisar las aportaciones e indicaciones de la TC en la enfermedad de la vía respiratoria antes de recomendar su aplicación rutinaria.
Correspondencia: Dra. I. Puchades Román.
Unidad de TC y Resonancia Magnética (ERESA). Hospital General Universitario de Valencia.
Cirilo Amorós, 90-12. 46004 Valencia. España.
Correo electrónico: ipuchades@eresa.com
Recibido en mayo de 2005.
Aceptado para su publicación en diciembre de 2005.






