Introducción
La causa más frecuente de trombosis arterial en el período neonatal es la canalización de la arteria umbilical, aunque en la mayoría de los casos es parcial y cursa de forma asintomática. Otras posibles causas son la asfixia en el período perinatal, coagulopatías, infecciones o la deshidratación grave.
Presentamos el caso de un recién nacido, alimentado con lactancia materna de forma exclusiva, que presentó trombosis aórtica masiva y cerebral superficial secundaria a una deshidratación hipernatrémica grave por inadecuada lactancia materna.
Observación clínica
Recién nacido de 8 días de vida que acude a urgencias por fiebre, irritabilidad y rechazo de las tomas de 24 h de evolución. Deposiciones más escasas, de consistencia normal.
Antecedentes personales: madre primípara, embarazo controlado normal, parto eutócico, peso al nacimiento de 3.880 g, alimentado con lactancia materna de forma exclusiva, período neonatal inmediato sin incidencias. Antecedentes familiares: sin interés.
Exploración física a su llegada a urgencias: peso: 3.060 g (pérdida de un 22 % del peso al nacimiento); PA: 101/73 mmHg; FC: 130 lat./min; temperatura 39 °C central. Irritable, mala perfusión periférica con relleno capilar mayor de 3 s, aspecto deshidratado con mucosa oral seca, signo del pliegue positivo, fontanela anterior normotensa, resto de la exploración normal.
Se realiza analítica completa con hemograma y EAB normal, bioquímica donde destaca: creatinina 0,9 mg/dl, urea 157 mg/dl, ácido úrico 6,4 mg/dl. Iones: sodio 180 mmol/l, potasio 4,7 mmol/l, cloro 149 mmol/l, glucosa: 103 mg/dl, bilirrubina total: 9 mg/dl.
Ingresa en la unidad de cuidados intensivos neonatales con el diagnóstico de deshidratación hipernatrémica grave para rehidratación intravenosa. A las 72 h presenta un empeoramiento clínico con dificultad respiratoria progresiva, anuria, acidosis metabólica, gradiente de tensiones entre extremidades superiores e inferiores y signos de insuficiencia cardíaca y renal, con valores de creatinina de 2,6 mg/dl.
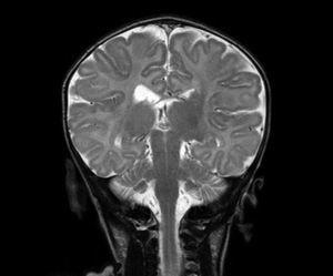
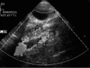
Se realizan las siguientes pruebas complementarias: radiografía de tórax donde se observa discreta cardiomegalia y signos de edema agudo de pulmón; ecografía abdominal (fig. 1) objetivándose un gran trombo que ocupa prácticamente toda la luz de la aorta abdominal desde la parte distal de la mesentérica superior hasta la bifurcación de ambas ilíacas. Ecografía transfontanelar: presencia de un trombo en el seno longitudinal superior, confirmado en la resonancia magnética (fig. 2) y en la angiografía cerebral (fig. 3) realizadas posteriormente.
Figura 1. Ecografía abdominal realizada a las 72 h del ingreso, donde se observa un gran trombo en la aorta abdominal.
Figura 2. Resonancia magnética donde se observa un trombo en el seno longitudinal superior.
Figura 3. Angiografía cerebral donde se confirma la presencia de un trombo que ocluye parcialmente el seno longitudinal superior.
El estudio completo de trombofilia (determinación de proteína C, proteína S, antitrombina III, homocisteína y estudio genético para factores II, V de Leiden y MTHFR) resultó normal.
Precisa ventilación mecánica y antibioterapia empírica de amplio espectro y, tras el diagnóstico de trombosis aórtica y cerebral, se inicia anticoagulación, con heparina en perfusión continua, así como fibrinólisis con activador tisular del plasminógeno recombinante (rt-PA) recuperando la onda de pulso femoral y la diuresis a las 3 h de iniciar el tratamiento.
Como complicación del tratamiento fibrinolítico presenta sangrado por puntos de punción, con síndrome compartimental asociado en el antebrazo izquierdo que requirió la sustitución del rt-PA por urocinasa.
En los controles ecográficos realizados a la semana del diagnóstico, se pone de manifiesto la repermeabilización tanto del seno longitudinal superior como de la aorta abdominal.
El paciente evolucionó de forma favorable encontrándose asintomático en el momento actual.
Discusión
La trombosis aórtica en el período neonatal es una complicación casi exclusiva de la canalización de la arteria umbilical 1,2. Otros factores predisponentes son estados de hipercoagulabilidad graves 2,3, asfixia neonatal, infecciones graves, enfermedades cardíacas o renales, diabetes materna, determinadas medicaciones maternas o la preeclampsia 1,4,5. Sin embargo, la trombosis aórtica en niños sanos es excepcional 6, y en nuestro caso se atribuye a la deshidratación hipernatrémica grave ocasionada por una inadecuada técnica en la lactancia materna.
El tratamiento de la trombosis arterial varía según la gravedad. Si la trombosis es parcial y asintomática, como en el caso de las canalizaciones vasculares, es suficiente con un adecuado tratamiento de soporte y la retirada del catéter 6,7. En cambio, si la trombosis es moderada o grave está indicada la anticoagulación sistémica y la fibrinólisis 6, ya que la mortalidad, con un tratamiento menos agresivo, es más elevada 8. Existe controversia en la elección del fármaco fibrinolítico que se debe administrar. Actualmente, en el período neonatal se administra el rt-PA, a una dosis de 0,1-0,5 mg/kg/h durante 2-72 h 9, ya que presenta diversas ventajas frente a otros como la urocinasa, como mayor rapidez de acción, carecer de poder antigénico, o mayor eficacia en neonatos al no depender directamente de los valores de plasminógeno 7,9. Su principal efecto adverso es el sangrado, aunque raramente es grave 9,10. Es importante realizar el cribado de una posible hemorragia cerebral previo al inicio de la terapia anticoagulante o fibrinolítica 6. La trombectomía se usa de forma excepcional y se restringe a aquellos casos en los que no se puede usar la fibrinólisis por razones técnicas, si existe contraindicación por hemorragia o infarto hepatoesplénico o intestinal inminente 6,7,11.
La incidencia de deshidratación hipernatrémica en el período neonatal se ha visto aumentada en los últimos años 12. Se produce habitualmente durante la primera semana de vida 13 y la inadecuada lactancia materna es una causa prevenible y cada vez más frecuente 14-16. La escasa succión por parte del recién nacido puede progresar hacia una involución mamaria y descenso del volumen de leche con mayor concentración de sodio 6,15,17, lo que puede favorecer, a su vez, la deshidratación hipernatrémica, la cual puede producir complicaciones graves como convulsiones, trombosis e incluso el fallecimiento del recién nacido 18, que se pueden evitar mediante un adecuado tratamiento.
Por último, recordar que, aunque la lactancia materna es de elección en el recién nacido, es importante comprobar que la técnica alimentaria se desarrolla correctamente mediante una adecuada educación materna anteparto, identificación de posibles factores de riesgo maternos o neonatales y seguimiento precoz del recién nacido en la primera semana de vida 19 para vigilar la aparición de signos precoces de deshidratación como una excesiva pérdida de peso 12,13.
Correspondencia: Dra. C. Iglesias Fernández.
Antonio Acuña, 25, 2.º C. 28009 Madrid. España.
Correo electrónico: cristinaif@hotmail.com
Recibido en diciembre de 2005.
Aceptado para su publicación en junio de 2006.





