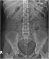
Presentamos el caso de una paciente de 14 años valorada en urgencias por dolor cólico en flanco derecho irradiado hacia hipogastrio. Se realizó una analítica de orina que fue normal, y dada la clínica compatible con cólico renal, una radiografía de abdomen (fig. 1).
Se completó el estudio con una ecografía abdominal (fig. 2) que mostró una lesión de 73×70×58mm, compatible con teratoma, sin poder especificar el órgano del que dependía. Se realizó también una resonancia magnética abdominal (fig. 3).
Los tumores ováricos son raros en pediatría, representando entre el 1-5% de los tumores infantiles. Hasta el 90% de estos tumores son germinales, siendo el más frecuente el teratoma maduro (55-70% de las neoplasias ováricas en pediatría)1,2. El teratoma maduro ovárico es una entidad benigna que puede aparecer a cualquier edad, pero la prevalencia más alta se da en mujeres en la segunda y tercera década de la vida. Proviene de al menos 2 de las 3 capas de células germinales, siendo lo más habitual encontrar tejidos del ectodermo (pelo, grasa, dientes, piel…)2. La mayoría de las pacientes están asintomáticas al diagnóstico, encontrándose como un hallazgo casual en las pruebas de imagen, pero pueden presentar dolor abdominal, masa palpable en la exploración, complicaciones como la torsión o la rotura ovárica e incluso síndromes paraneoplásicos, aunque esta manifestación es muy rara. Hasta un 10% de los casos pediátricos pueden ser bilaterales3. El diagnóstico inicial se realiza mediante ecografía abdominal, siendo la imagen más común la de una lesión quística con un nódulo ecogénico compuesto de pelo, grasa o hueso, que suele presentar sombra acústica posterior (nódulo de Rokitansky). Habitualmente se completa el estudio con una resonancia magnética para delimitar mejor su tamaño y relación con estructuras vecinas2. Alrededor del 50% pueden tener calcificaciones y hasta en un 22% se pueden objetivar piezas dentarias radiológicamente4. Por ello, el hallazgo de imágenes con densidad calcio y forma de pieza dentaria en una radiografía de abdomen pueden ser clave en el diagnóstico de teratoma.
El tratamiento de esta entidad es quirúrgico y el pronóstico es excelente. Cada vez se aboga más por las técnicas conservadoras que puedan garantizar la resección tumoral completa y la preservación de la fertilidad, ya que no es insólita la aparición de tumores metacrónicos que pueden requerir otras cirugías, con una incidencia que varía en función de las series entre el 5,7 y el 23%5.





