Sr. Editor:
El síndrome de shock hemorrágico y encefalopatía es una enfermedad rara que asocia encefalopatía aguda, shock, diarrea, coagulación intravascular diseminada (CID), y disfunciones renal y hepática1. Su pronóstico es a menudo fatal, con una mortalidad superior al 50 %2 y en los supervivientes son frecuentes las secuelas neurológicas importantes. Recientemente hemos tenido la oportunidad de asistir un caso en nuestro hospital.
Lactante niño de 3 meses ingresado por fallo multiorgánico. Presentó, en días previos, rechazo del alimento, irritabilidad y llanto, con deposiciones líquidas y un empeoramiento brusco del estado general. Al ingreso, estaba taquicárdico (190 lat./min), polipneico (50 resp./min), hipotenso (67/31 mmHg) y con temperatura rectal de 40 °C. Presentaba desconexión del medio, mal estado general, aumento del trabajo respiratorio y mala perfusión periférica. Se constataron disfunción renal, acidosis metabólica, anemia 8 g/dl, leucocitos 35.700/μl y coagulopatía.
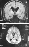
Se realizó estudio microbiológico para virus y bacterias con resultado negativo. El estudio metabólico fue normal. En la ecografía cerebral, se detectaron lesiones en la región talámica que indicaban un proceso de desmielinización y que se acompañaban de un edema cerebral. En la resonancia magnética (RM) cerebral se observaron cambios de necrosis hemorrágica subaguda yuxtacortical (fig. 1A). El estudio de difusión indicó edema citotóxico (fig. 1B). En el momento del ingreso, el paciente requirió estabilización con fármacos vasoactivos e inotrópicos y por fallo ventilatorio agudo, conexión a ventilación mecánica, mantenidos 4 días. Precisó infusión de bicarbonato y tratamiento con hemoderivados por CID. Recibió antibioterapia de amplio espectro y tratamiento con cofactores. Presentó un fallo renal agudo con anuria e hipercalcemia, por lo que se inició terapia con depuración extrarrenal con hemodiafiltración venovenosa continua durante 4 días. A las 24 h, inició un fallo hepático agudo con incremento moderado de transaminasas y coagulopatía grave, que remitió iniciando mejoría analítica a los 3 días y normalización a los 10 días. La evolución fue favorable; fue dado de alta a los 20 días, aunque persistieron importante irritabilidad, desconexión del medio, hipertonía de las cuatro extremidades e inclusión de pulgares. A los 4 meses, continúa presentando tetraparesia espástica y retraso psicomotor.
El síndrome de shock hemorrágico y encefalopatía es una enfermedad poco sospechada por los pediatras a la hora de incluirla en sus diagnósticos diferenciales. El cuadro se inicia abruptamente como un fallo multiorgánico difícil de filiar y usualmente durante la madrugada3. La etiología continúa desconociéndose. El origen podría ser un aumento de citocinas proinflamatorias4 o bien un aumento de enzimas proteolíticas como triptasa o elastasa en respuesta a un estímulo y que no fueran neutralizadas bien por deficiencia de inhibidores de proteasa o bien por el fallo renal subyacente. Un proceso infeccioso concomitante podría estar implicado e incluso se ha especulado que pudiera ser ocasionado por un agente infeccioso aún no identificado, ya que más del 90 % de los casos publicados presentan un antecedente de infección de vías respiratorias superiores, vómitos o diarreas. Van Pierde et al5 postulan que el síndrome de shock hemorrágico y encefalopatía podría ser una variante del síndrome del shock tóxico sin manifestaciones cutáneas, mediado por toxinas microbianas que actuarían como superantígenos.
Entre los síntomas de inicio mencionados en los casos estudiados, aparece una constante y es la presencia de hiperpirexia3 en las horas previas al ingreso. El papel que desempeña en la etiología de este síndrome no está claramente determinado, aunque destacan las similitudes clínicas y bioquímicas con el golpe de calor6, por lo que algunos autores sugieren incluso que podría ser una variante.
En nuestro caso, la hipertermia fue constatada a su llegada al hospital permaneciendo el paciente posteriormente afebril.
El diagnóstico diferencial debe incluir sepsis bacteriana o viral, síndrome hemolítico urémico, síndrome del shock tóxico, intoxicaciones, síndrome de Reye y errores innatos del metabolismo7. Todos ellos fueron descartados en nuestro paciente y se constató que cumplía los 9 criterios que Bacon y Hall3 describen como necesarios para el diagnóstico de síndrome de shock hemorrágico y encefalopatía.
Durante su ingreso, se realizaron varias pruebas de imagen. En la ecografía cerebral inicial se observaba un importante edema, tratado con medidas antiedema. Las imágenes de la RM en estadio subagudo con afectación de la sustancia blanca y de la sustancia gris subyacente eran similares a la descritas recientemente por Toyoshima et al8 y a las encontradas en la encefalopatía por virus del herpes 69 y en el síndrome hemiconvulsión-hemiplejia10.
La fisiopatología y la progresión de la lesión cerebral continúan siendo desconocidas y sería interesante determinarlas, puesto que a pesar del importante fallo multiorgánico que caracteriza al síndrome de shock hemorrágico y encefalopatía, y la mortalidad y morbilidad asociadas están principalmente relacionadas con la afectación neurológica4
El tratamiento es fundamentalmente de soporte, aunque el inicio de una depuración extrarrenal con hemodiafiltración precoz podría ser eficaz7.
En conclusión, todavía se desconocen muchos aspectos de este síndrome. La principal herramienta para su diagnóstico es la sospecha clínica. La difusión en RM demuestra una afectación temprana de la sustancia blanca y podría ser clave para un diagnóstico de certeza precoz.



