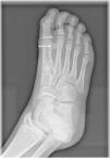
Presentamos el caso de un varón de 13 años, que acudió a urgencias por dolor en la región de la articulación metatarsofalángica del primer dedo del pie derecho tras golpear accidentalmente el suelo jugando un partido de fútbol el día anterior. Presentaba leve tumefacción en hallux y dolor a la palpación en dicha articulación. En la radiografía de pie (ver fig. 1) se observó la presencia de un hueso sesamoideo lateral partido.
Los sesamoideos son pequeños huesos redondeados localizados en los tendones para reforzar y disminuir el estrés ejercido sobre ellos1. En los pies distinguimos el sesamoideo lateral y el medial, ambos localizados en la superficie plantar de la cabeza del primer metatarso2. El sesamoideo bipartito es una variante de la normalidad, resultado de la fusión incompleta durante el desarrollo, con una incidencia de entre el 7-30%1. Su principal diagnóstico diferencial es la fractura de sesamoideo, que generalmente se produce por un mecanismo de hiperextensión forzada del primer dedo, y que en ocasiones puede pasar desapercibida derivando en complicaciones como necrosis avasculares2,3. Nuestro paciente siguió un tratamiento conservador, con reposo físico y descarga plantar. Evolucionó favorablemente y en un plazo de menos de 2 semanas reinició progresivamente su actividad deportiva.



