Niño de 12 años de edad que hace 7 días sufrió un traumatismo en la región genital y desde entonces tiene una erección parcial. No le provoca dolor. Existe un hematoma en el lado izquierdo del escroto y en el rafe. La erección es a expensas del cuerpo cavernoso izquierdo.
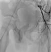
La ecografía Doppler muestra un aumento de la vascularización en la base del cuerpo cavernoso izquierdo (fig. 1). En la arteriografía, se observa la laceración tanto de la arteria peneana izquierda, como de una rama de la arteria obturadora del mismo lado (fig. 2).
Con partículas hemostáticas, se realiza embolización superselectiva de las mismas, comprobándose el cese del extravasado (fig. 3). Se da de alta a las 24 h del procedimiento. En el control posterior, un mes después el paciente refiere erecciones matutinas con normalidad.
El priapismo arterial, llamado de alto flujo, es poco frecuente. En la mayoría de los casos, es secundario a un traumatismo peneano en el periné o en el pene, que causa una laceración arterial y una fístula entre ella y el cuerpo cavernoso del mismo lado1. Se caracteriza por una erección a expensas de los cuerpos cavernosos que no provoca dolor. Para precisar el diagnóstico, es conveniente realizar una ecografía Doppler y una arteriografía. Aunque existen otros tratamientos2, se recomienda la embolización arterial por su seguridad y efectividad3.





