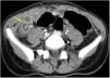
Niña de 11 años con síndrome de Down, que acude a urgencias por presentar dolor abdominal de predomino en fosa ilíaca derecha (FID) y fiebre de 48h de evolución. Entre los antecedentes encontramos enfermedad de Hirschsprung tratada mediante colostomía en el período neonatal y posterior descenso abdominoperineal tipo Duhamel, presentando varios episodios de oclusión intestinal posteriores que se resolvieron con tratamiento conservador. A su llegada presentaba regular estado general, fiebre de 39°C, el abdomen era blando y depresible, con dolor intenso y defensa muscular a la palpación de la FID. La analítica sanguínea demostró leucocitosis con neutrofilia y una PCR de 15,5mg/dl. Se realizó ecografía abdominal objetivándose una estructura tubular fija en la FID con paredes engrosadas y contenido líquido (figs. 1 y 2). El estudio se completó con una TAC abdominal confirmándose el diagnóstico de hidropiosalpinx derecho (fig. 3). Se inició antibioterapia endovenosa con amoxicilina-clavulánico objetivándose mejoría clínico-radiológica en las primeras 24h sin precisar drenaje quirúrgico de la colección. Se dio de alta a las 72h con antibioterapia oral y buena evolución posterior.
El hidropiosalpinx es una condición extremadamente rara en adolescentes sexualmente inactivas1. En este caso, debido a su rara asociación con la enfermedad de Hirschsprung, deben considerarse 2 hipótesis etiopatogénicas: origen secundario a la posible existencia de bridas intestinales por el antecedente de cirugía abdominal, o bien, un origen congénito en el contexto de neurocristopatía2,3. En cualquier caso, debe considerarse el hidropiosalpinx dentro del diagnóstico diferencial de abdomen agudo en las pacientes adolescentes, especialmente en aquéllas con historia de aganglionismo.





