This review starts by describing the main advances in imaging techniques used in pediatric patients, followed by the challenges and future developments that could potentially improve diagnosis in this age group.
Advances in sonographySonography is widely used in children and has become the first-line imaging technique for various pediatric conditions. One of the recent advances is elastography, a functional ultrasound technique that allows quantification of tissue stiffness and is the preferred technique for evaluation of liver fibrosis, specifically, with use of shear-wave elastography, a technique that is easy to use in pediatric patients, as it is integrated in the ultrasound machine, allows working with a static view and can detect early stages of fibrosis. It can also be used to assess severe brain lesions, fibrotic bowel segments or renal fibrosis. Another technique is contrast-enhanced ultrasound (CEUS), in which contrast agents can be administered via the intravenous, intracavitary or intravesical route. Intravesical administration is used in contrast-enhanced voiding urosonography (ceVUS) as an alternative to conventional voiding cystourethrography with fluoroscopy, as it offers a high sensitivity for detraction of vesicoureteral reflux and allows a detailed assessment of the urethra. In some cases, CEUS with IV administration of contrast can be used for characterization of benign focal hepatic lesions, such as hemangioma, focal nodular hyperplasia, or fatty infiltration, obviating the need for other techniques that require exposure to ionizing radiation or sedation. Emerging applications of CEUS include the diagnostic evaluation and follow-up of necrotizing enterocolitis, inflammatory bowel disease, and white matter lesions in preterm infants.1
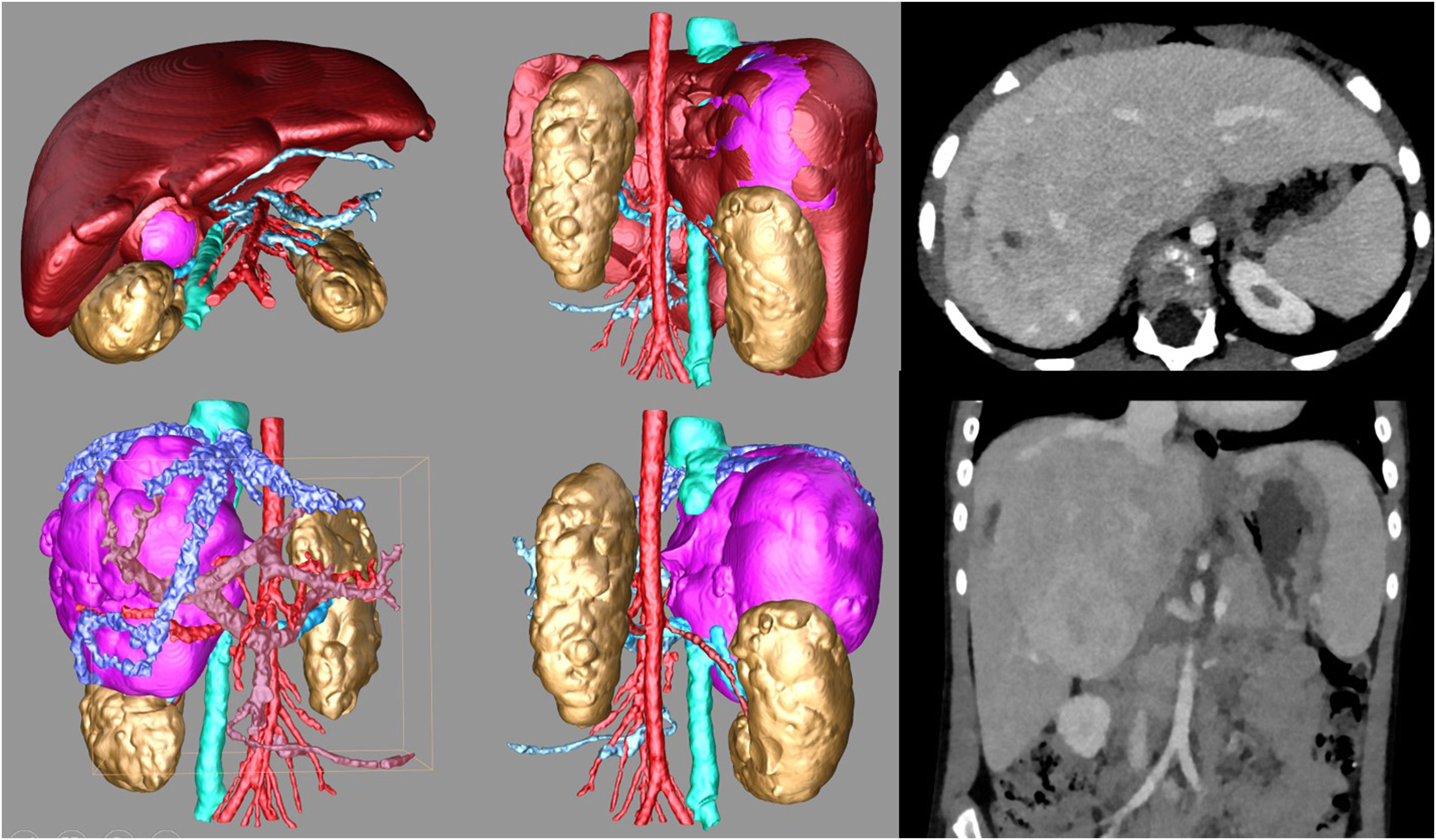
Advances in computed tomographyNovel computed tomography (CT) techniques include dual-energy and photon-counting systems with enhanced image quality and lower radiation doses. Dual-energy CT scanners can generate virtual unenhanced images that allow visualization of kidney stones or iodine maps that can be useful for visualization of lung perfusion in cases of pulmonary embolism. Photon-counting CT (PCCT) scanners generate higher-quality images with lower radiation and contrast doses. It is estimated that PCCT could reduce radiation doses by approximately 30%–60%, depending on the imaging protocol and clinical question.2 These advances allow mapping and quantification of iodine uptake, achieving more accurate tissue differentiation, enhanced material decomposition and improved three-dimensional reconstruction of tumors and 3D printing, facilitating planning of complex surgeries and integration of imaging and surgical robotics, and therefore contributing to advances in image-guided surgery (Fig. 1).
Advances in magnetic resonance imagingIn recent years, there have been significant advances in magnetic resonance imaging (MRI), especially in terms of reducing acquisition times. Rapid MRI techniques reduce acquisition times enough to avoid sedation, and is most commonly used for brain imaging, but it can also be used for assessment of acute abdomen and musculoskeletal infections. The Dixon technique achieves uniform fat suppression and also makes it possible to obtain images with and without fat suppression from a single acquisition. Diffusion tensor imaging (DTI) allows quantification of anisotropic diffusion in various directions, and subsequent construction of anisotropy maps representing the direction of tracts (tractography), which can depict microstructural changes in the brain, including physiological changes caused by myelination and brain development, the effect of various disorders, and post-treatment changes. This technique helps neurosurgeons reduce morbidity by resecting as much of the mass as possible, preserving the most important white matter tracts, such as corticospinal tract fibers, responsible for motor function, or the arcuate fasciculus, involved in language. Arterial spin labeling perfusion MRI is a perfusion method that does not require administration of gadolinium tracer but rather uses the water in blood as an endogenous tracer, thus offering the advantage of being noninvasive. It can depict perfusional changes in the brain resulting from various disorders or anomalies, such as strokes, seizures, complicated migraines, or brain neoplasms (Fig. 2). Magnetic resonance spectroscopy (MRS) provides metabolic information complementary to neuroanatomic images and is particularly useful in cerebral neoplasms, contributing to tumor grading and the assessment of treatment response. Functional MRI (fMRI) uses blood oxygenation level-dependent and its main clinical application is in presurgical planning before resection of lesions such as brain tumors, vascular malformations, or epileptogenic foci near the eloquent cortex. The eloquent areas of the brain interrogated most commonly include motor areas, language areas and visual areas, typically via various task-based fMRI paradigms. Susceptibility weighted imaging is a 3D high-spatial-resolution gradient-echo MRI sequence sensitive to the magnetic properties of blood products, calcifications and iron that can be used for detection of microhemorrhages and differentiate them from calcifications or to visualize anomalous vascularization in high-grade tumors.3
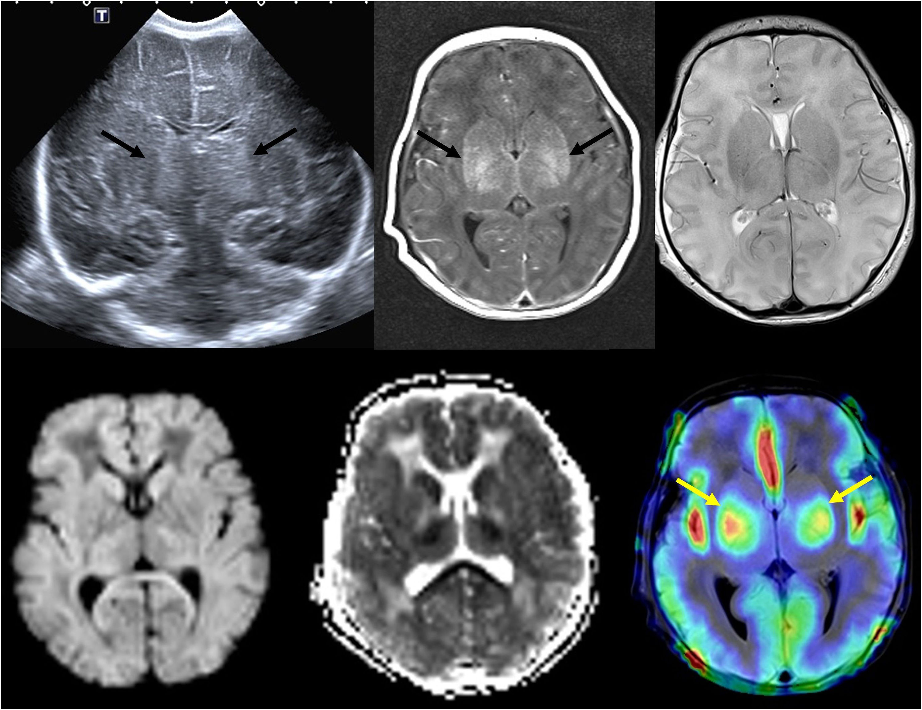
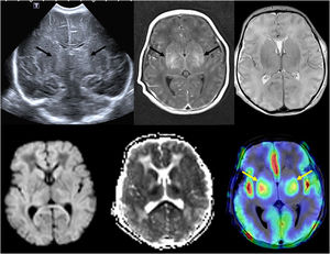
(A) Transfontanellar ultrasound performed on the first day of life in a full-term newborn with severe hypoxia-ischemia showing bilateral central gray matter injury (arrows). (B) Head MRI performed 4 days post birth showing bilateral central gray matter injury in T1- and T2-weighted images, with restricted diffusion and evidence of increased perfusion in arterial spin labeling (arrows), which has been associated with a poor prognosis.
Fetal MRI is already widely used as the second-line imaging technique following the obstetric ultrasound, chiefly to characterize central nervous system anomalies, although it should be preferentially performed in tertiary care hospitals by experienced radiologists and its use before 19–20 weeks of gestation is not recommended. The integration of MRI data with genetic and statistical data is now necessary to provide adequate prenatal counseling.
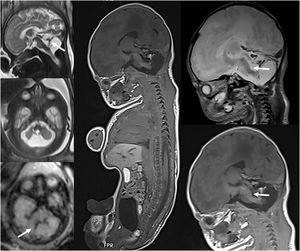
Advances in post mortem imagingPediatric post mortem (PM) imaging is an emerging technique whose use has increased as performance of invasive autopsies has decreased and the acceptance of PM imaging has increased among parents and health professionals. It includes different modalities, such as plain radiography, CT or MRI. Plain radiography continues to be the mainstay of forensic PM imaging in suspicious childhood deaths. Numerous studies have demonstrated the utility of MRI for perinatal and fetal post mortem imaging due to its capacity to visualize soft tissue anomalies, although PM CT offers advantages for identification of fractures, with a lower cost and a shorter acquisition time.4 The United Kingdom guideline for cases of suspected child abuse was updated in 2018 and now recommends performance of a PM CT scan if skeletal trauma is suspected but was not detected by plain radiography, as well as performance of PM MRI if soft-tissue trauma is suspected in the context of unexpected childhood death. Post mortem MRI is performed in fetuses or newborn infants, preferentially with whole body imaging within 24 h of birth or death (Fig. 3). Previous training in PM imaging is required to recognize normal PM findings and differentiate them from truly pathological findings. Post mortem imaging may not be diagnostic in fetuses of young gestational age.
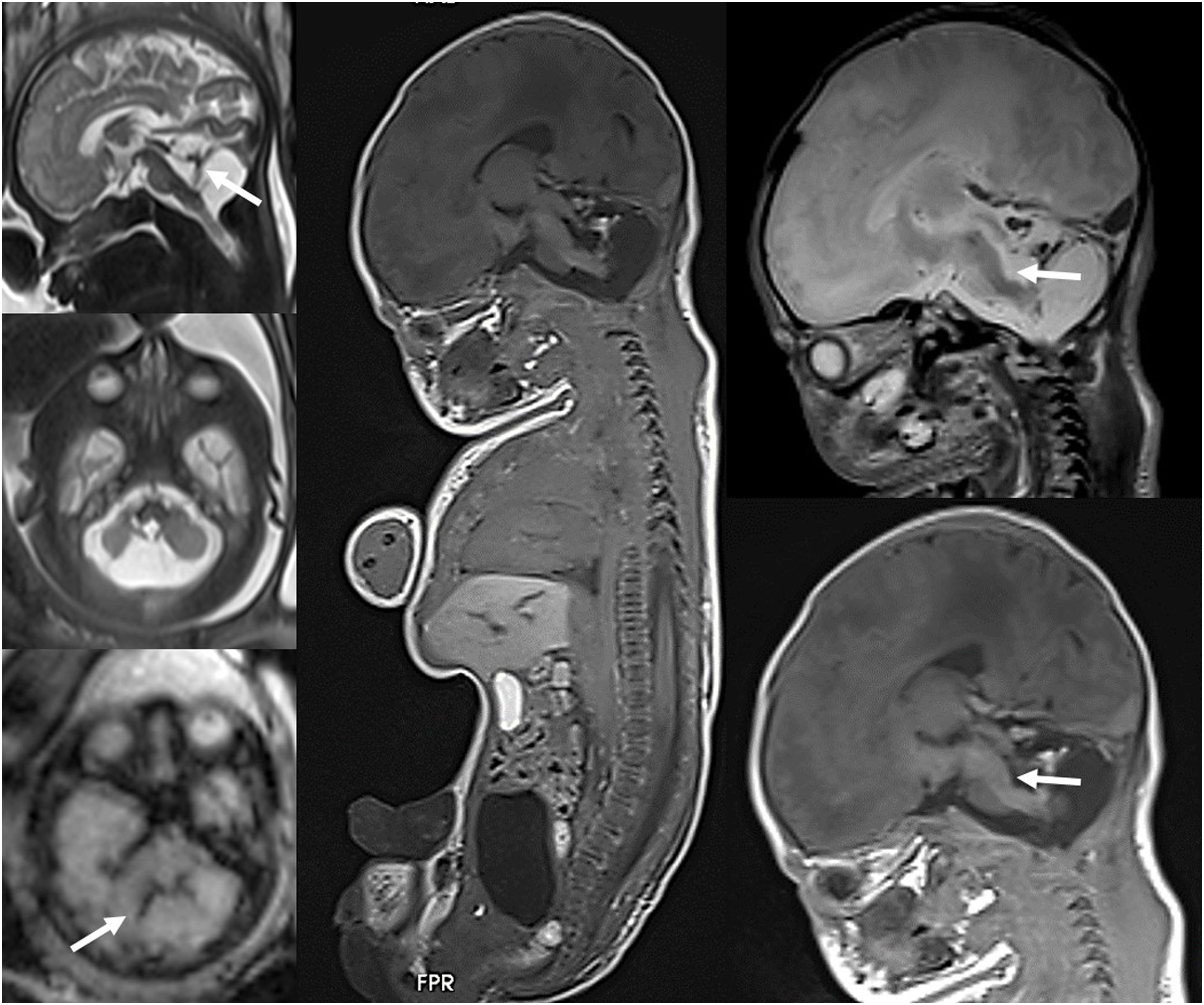
Fetus at 33 weeks of gestational age with sonographic findings indicative of cerebellar hypoplasia. (A) Fetal MRI performed at 33 weeks showing a destructive cerebellar lesion with blood remnants (arrows). (B) Post mortem fetal MRI conducted after the pregnancy was terminated showing the cerebellar hemorrhage associated with a tegmental lesion of the medulla oblongata (arrows) that was previously undetected.
Radiomics is an emerging field that involves the extraction of quantitative features from medical images obtained through different techniques, such as CT, MRI or positron-emission tomography, that can be analyzed using machine learning and statistical methods to derive clinically relevant information for disease diagnosis, characterization, and treatment response prediction in different diseases, ultimately enabling more personalized and effective therapeutic intervention. Thus, for example, radiomics and deep learning have the potential to increase our understanding of tumor biology, facilitate personalized therapeutic strategies and improve prognostic prediction in neuroblastoma.5
Deep learning is a branch of artificial intelligence (AI) that can extract patterns and achieve preestablished objectives without specific programming. With an adequate input and graphics processing unit, it is possible to process large amounts of imaging, clinical and scientific data in a very short time, considerably speeding the review of the literature, accurate diagnosis and the selection of the best possible treatment for each patient. For example, in children with cancer predisposition syndrome, these algorithms could be applied to improve the sensitivity and specificity of the imaging tests used for screening and early detection of cancer. Machine learning algorithms have also been applied to predict survival in children with cancer and improve long-term outcomes. Some of the necessary developments in the future are the standardization and sharing of source data and new algorithms to enable cross-validation and maximize patient benefits. In the case of MRI images, AI has begun to be applied through artificial neural networks to reduce acquisition times, which in turn reduces the need for sedation or general anesthesia in pediatric patients.


