Presentamos un paciente de 13 años con fiebre, disminución de la visión y alteración en la discriminación de los colores unilateral. La analítica y la TC craneal fueron normales. En el fondo de ojo presentaba edema de papila con edema de la retina peripapilar (fig. 1) y en la tomografía de coherencia óptica (OCT) se constató edema macular (fig. 2), compatible con neurorretinitis. El diagnóstico fue serológico (positivo para Bartonella henselae).
La enfermedad por arañazo de gato, causada por Bartonella henselae, tiene su reservorio principal en el gato. Típicamente se caracteriza por adenopatías autolimitadas, pero también existen formas sistémicas, como la afectación ocular1.
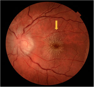
La neurorretinitis por B. henselae es un diagnóstico infrecuente. La pérdida de agudeza visual unilateral con edema de papila y exudación macular (estrella macular) en la funduscopia es característica1–3. La estrella macular suele observarse 1-4 semanas desde el inicio y persiste meses (fig. 3)2. El tratamiento consiste en biterapia antibiótica (doxiciclina y rifampicina) de larga duración. El tratamiento corticoideo es controvertido, aunque parece mejorar el pronóstico de la agudeza visual y las alteraciones funduscópicas1,3.
El diagnóstico diferencial de pérdida de visión unilateral con edema de papila debe hacerse con una neuritis óptica que puede presentarse tras infecciones, vacunaciones o en el contexto de síndromes desmielinizantes adquiridos1.





