Niño de 12 años que acude por dolor en el hemiabdomen derecho, intermitente, de 10 días de evolución, que comenzó tras realizar ejercicio físico. Buen estado general, analíticamente sin alteraciones. Presenta un abdomen blando, depresible, con dolor a la palpación en vacío derecho.
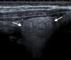
Se realiza una ecografía abdominal (fig. 1), apreciándose, en la zona del dolor selectivo, hiperecogenicidad de la grasa intraabdominal. Apéndice vermiforme normal.
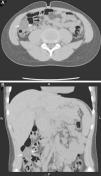
Mediante TC abdominal (fig. 2), se confirma un área focal de aumento de densidad de la grasa intraabdominal adyacente al colon ascendente.
TC abdominal sin contraste por vía oral ni intravenosa, en planos axial (imagen A) y reconstrucción coronal (imagen B). Se observa un área bien delimitada de aumento de densidad de la grasa omental (flechas) del vacío derecho, en situación lateral con respecto al colon ascendente (C) con efecto masa e impronta sobre el mismo, de aspecto trabeculado, con un tamaño de 2,6cm de diámetro.
Tras pautar tratamiento domiciliario con paracetamol por vía oral durante una semana, presenta una significativa mejoría clínico-radiológica, con resolución completa en control ecográfico realizado a los 3 meses.
Desde el punto de vista radiológico, el diagnóstico diferencial se establece entre necrosis grasa focal y tumor con componente graso. En el contexto clínico-evolutivo del paciente, el diagnóstico más probable es de necrosis/inflamación focal de la grasa intraabdominal. Esta puede tener 2 orígenes: la grasa omental (infarto omental) o la grasa de los apéndices epiploicos (apendicitis epiploica/epiploitis). La lesión del infarto omental es más heterogénea y más frecuente en el flanco derecho, por lo que sería la primera opción diagnóstica; mientras que la epiploitis suele presentarse adyacente al sigma o en la región ileocecal.
Ambas entidades constituyen una causa infrecuente de dolor abdominal en niños1. Clínicamente pueden simular diversas afecciones, por lo que los hallazgos radiológicos (ecografía/TC) son esenciales para su diagnóstico2. Se recomienda un manejo conservador con antiinflamatorios no esteroideos/analgésicos por vía oral, recurriendo a la cirugía únicamente cuando presentan mala evolución3.




