Niño de siete años remitido a consulta de Cirugía Pediátrica por tumoración costal de meses de evolución, sin otra sintomatología acompañante. Se objetiva tumoración de 2x2cm de consistencia pétrea en hemitórax izquierdo a nivel del cuarto arco costal.
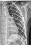
En radiografía de tórax realizada a nivel ambulatorio por cuadro respiratorio previo se objetiva imagen compatible con costilla bífida (fig. 1). Se realiza una tomografía computarizada de tórax (fig. 2) que confirma el diagnóstico, sin presentar patología adyacente. Se decide tratamiento conservador con seguimiento anual por Cirugía Pediátrica.
La prevalencia de anomalías costales es del 2% de la población, constituyendo la costilla bífida un 28% de ellas1. La alteración suele ser unilateral, de lateralidad derecha, con prevalencia masculina y no suelen acompañarse de alteraciones vertebrales1,2. Suelen ser asintomáticos y diagnosticarse como hallazgo incidental. En nuestro caso, como una tumoración torácica. No obstante, se han asociado manifestaciones respiratorias, neurológicas y otras deformidades de la caja torácica, así como relación con síndromes asociados, como el de Gorlin-Goltz2,3.
El hallazgo de esta anomalía a edades tempranas permite realizar seguimiento y poder detectar aquellos casos que pudieran asociarse a otras patologías.
Conflicto de interesesLos autores declaran no tener ningún conflicto de intereses.


