Introducción
El dolor torácico es una causa poco común de consulta en la infancia. El origen idiopático es lo más habitual, sobre todo en los mayores de 12 años, presentando los de menor edad etiologías orgánicas con más frecuencia.
La causa de dolor torácico puede ser de etiología musculoesquelética, pulmonar, cardíaca, idiopática y gastrointestinal1. En el último grupo destaca la patología esofágica, especialmente el reflujo gastroesofágico y alteraciones de la motilidad.
En el esófago asientan termorreceptores, mecanorreceptores y quimiorreceptores responsables de la sensación nociceptiva. Aunque algunos estudios señalan que el dolor de origen esofágico resulta de una nocicepción anormal2.
Presentamos 2 pacientes en los que se diagnostican malformaciones del tracto digestivo a partir del estudio realizado por dolor torácico.
Observaciones clínicas
Caso 1
Paciente de 10 años remitido a nuestro servicio para estudio por dolor centro-torácico desde hace 2 años que se ha agravado en el último mes. El dolor es descrito como pinchazos, no irradiado, sin pirosis, sin relación con las comidas, empeora con la respiración profunda y no se relaciona con la tos ni con los cambios posturales.
Sin antecedentes personales de interés hasta la edad de 2 años en que se diagnostica de primoinfección tuberculosa, es tratada durante 6 meses.
Seis años más tarde es remitido para estudio por dolor torácico realizándose las siguientes pruebas complementarias: radiografía de tórax donde aparece una adenopatía perihiliar calcificada; electrocardiograma, hemograma, bioquímica, sedimento urinario, ionotest, a1-antitripsina sin alteraciones. La espirometría basal y test de broncodilatador fueron negativos, pero con test de esfuerzo positivo por lo que se instauró tratamiento broncodilatador previo al ejercicio, aunque sin presentar mejoría.
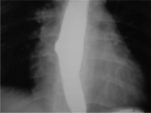
Posteriormente refiere dolor epigástrico por lo que se solicita un tránsito digestivo superior (fig. 1), en el que se aprecia un divertículo esofágico en el tercio medio. La endoscopia demuestra la existencia de dilatación sacular en el tercio medio esofágico. Se practica una manometría encontrando un trastorno motor con diagnóstico de peristalsis esofágica aumentada con ondas de gran amplitud. Después de 3 años de evolución presenta dolor torácico esporádico sin precisar tratamiento por el momento.
Figura 1. Tránsito digestivo superior. Divertículo esofágico en tercio medio.
Caso 2
Niño de 4 años que ingresó en urgencias por dolor intenso y continuo en la región esternal desde hace 4 días sin otra sintomatología. En la exploración no presenta hallazgos significativos.
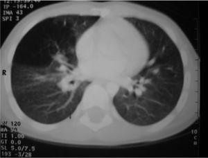
Entre las pruebas complementarias realizadas el electrocardiograma, hemograma y bioquímica no presentaban alteraciones. En la radiografía de tórax se observaba una masa de contornos lobulados, bien delimitada en mediastino superior que originaba ensanchamiento bilateral; en la tomografía computarizada (TC) torácica con contraste (fig. 2) se visualizaba una masa de densidad agua, sin verse adenopatías, la lesión se consideró compatible con quiste de duplicación. En el parénquima pulmonar se observaba una hiperaireación del lóbulo medio con imágenes quísticas alternando con parénquima normal que podría corresponder a malformación adenomatoidea quística o enfisema lobular congénito (fig. 3). El tránsito digestivo superior mostraba una compresión en el tercio inferior de esófago por una masa paratraqueal derecha y en la esofagoscopia no se vio comunicación con la luz esofágica.
Figura 2.TC torácica con contraste: masa de densidad agua, no se ven adenopatías, lesión compatible con quiste de duplicación.
Figura 3.TC torácica: hiperaireación del lóbulo medio con imágenes quísticas alternando con parénquima normal.
Se realizó quistectomía por toracoscopia encontrándose una zona enfisematosa en el parénquima pulmonar derecho que no se resecó.
La anatomía patológica mostraba desde el punto de vista macroscópico una formación nodular de 3 × 2 × 2 cm consistente en una lesión quística unicameral con contenido mucoso y desde el punto de vista microscópico la pared quística estaba formada de capas de músculo liso y estriado, epitelio interno pavimentoso y cilíndrico ciliado con células caliciformes. Con esta descripción fue finalmente diagnosticado de duplicación esofágica quística.
En la evolución posterior persiste tos y dolor centro-torácico esporádico. Se realizan controles periódicos de la zona enfisematosa acompañante en los que no se aprecia aumento de la misma, por lo que no se ha indicado de momento tratamiento quirúrgico.
Discusión
Considerando las causas de dolor torácico, la etiología digestiva es poco frecuente. En los pacientes expuestos observamos la existencia de dos malformaciones digestivas (divertículo y quiste de duplicación esofágico). En el primer caso el paciente presenta un divertículo, dilatación circunscrita de la pared esofágica con forma sacular3. Debe ser distinguido de los divertículos falsos o seudodivertículos (dilatación de las glándulas esofágicas profundas)1. Estos últimos son debidos a reflujo gastroesofágico, esofagitis, diabetes mellitus, candidiasis, etc., aunque también pueden ser congénitos4.
Los divertículos se descubren aproximadamente en el 3 % de todas las exploraciones radiológicas, no se encuentran diferencias en ambos sexos y la edad de mayor incidencia es entre los 50-70 años.
Se clasifican en función de su localización y mecanismo patogénico.
Según la localización pueden ser: faringoesofágicos (Zenker), medio-esofágicos, epifrénicos y abdominales. Y según la patogenia: embriológicos, por tracción (por fuerzas externas) y por pulsión (por aumento de la presión intraluminal)5.
La motilidad suele encontrarse afectada, lo que aconseja la realización de manometría en todos los pacientes independientemente de la localización6.
La clínica depende de la situación anatómica, la relación con las estructuras vecinas, el tamaño y la dificultad de vaciamiento, pudiendo por tanto, comprimir, infectarse, supurar y fistulizarse.
Los divertículos torácicos como en el caso del primer paciente, tienden a aparecer en edades más jóvenes comparados con los otros. La tracción es un mecanismo clave en su producción. Aunque existen casos descritos, especialmente en niños, en que cobra importancia el aumento de presión intraluminal (pulsión), como resultado de un cuerpo extraño a ese nivel, con frecuencia monedas. Por tanto, ante la existencia de un divertículo esofágico, debería ser sospechada la ingestión de un cuerpo extraño7.
En nuestro paciente constituye un antecedente personal muy relevante el haber padecido una primoinfección tuberculosa. Una revisión realizada encuentra que el 1 % de los niños que sufrieron años antes la primoinfección desarrollaron divertículo medioesofágico8. El divertículo sería secundario a la presión ejercida por la adenopatía parabronquial fibrosada y calcificada8.
La antracosis, sarcoidosis, linfomas no hodgkinianos tratados, histoplasmosis, etc., comparten una patogenia similar9.
El tratamiento es generalmente médico, sintomático. En cambio, si existen síntomas graves y su persistencia pone en peligro al enfermo, se recurrirá a la intervención quirúrgica (complicada en los torácicos).
El segundo paciente presenta un quiste de duplicación, una malformación con incidencia de 1/8.200 pacientes. La mayoría de estas lesiones son asintomáticas, pero también pueden originar disfagia (efecto compresivo), perforación, sangrado y degeneración maligna10.
La localización más frecuente es en tercio medio-inferior esofágico.
Se trata de una malformación que tiene lugar durante las primeras semanas del desarrollo embrionario.
El divertículo contiene todas las capas del esófago mientras que el quiste de duplicación es un saco muscular revestido de epitelio estratificado que ocasionalmente se recubre de epitelio respiratorio, gástrico o intestinal11. A diferencia del divertículo, la duplicación no comunica con la luz esofágica.
El quiste de duplicación predispone al reflujo gastroesofágico y a la impactación de cuerpos extraños, que a su vez, pueden ser causa de divertículo.
En la literatura especializada se describen casos raros de asociación del quiste de duplicación a malformaciones pulmonares (secuestro intrapulmonar y extrapulmonar, bronquiectasias, quiste broncogénico)12 e incluso fístula traqueoesofágica. En nuestro paciente se asoció a una zona enfisematosa que podría corresponder a enfisema lobular congénito o malformación adenomatoidea quística, aunque de momento, dada la buena evolución se ha mantenido una actitud conservadora.
El tratamiento de elección del quiste de duplicación es la resección quirúrgica.
El divertículo esofágico y el quiste de duplicación son lesiones asintomáticas y cuyo diagnóstico es casual en la mayor parte de los casos, pero en estos 2 pacientes el síntoma guía para el diagnóstico fue el dolor torácico.
Éste podría estar desencadenado por el reflujo gastroesofágico, por la impactación de cuerpos extraños y en el primer niño también podría estar relacionado con la alteración en la motilidad esofágica.
Como conclusión, creemos conveniente, coincidiendo con otros autores13, incluir dentro del diagnóstico diferencial del dolor torácico en niños la patología esofágica malformativa, una vez descartadas otras causas más frecuentes.
Correspondencia: Dra. A. González de Zárate Lorente.
Conde de Cartagena, 5, 5.º C. 28007 Madrid. España.
Correo electrónico: anagzarate18@yahoo.es
Recibido en febrero de 2006.
Aceptado para su publicación en septiembre de 2006.





