Caso clínico
Lactante de 5 meses de vida que presenta escasa ganancia ponderal de 2 semanas de evolución coincidente con leucocituria y urocultivos repetidamente negativos.
Antecedentes familiares: Sin interés.
Antecedentes personales: Recién nacido a término, de peso adecuado para la edad de gestación. Apgar 9-10. Cardiopatía congénita: comunicación interventricular perimembranosa y comunicación interauricular tipo foramen oval permeable. Diagnóstico prenatal de dilatación pielocalicial bilateral moderada, con hallazgo posnatal de importante dilatación pielocalicial izquierda con megauréter y dilatación pielocalicial derecha de 8 mm. Reflujo vesicoureteral bilateral grado III en riñón derecho y grado IV en riñón izquierdo, válvulas uretrales posteriores. Precisó sondaje vesical permanente durante el primer mes de vida. Múltiples infecciones de tracto urinario desde los 14 días hasta los 3 meses de vida: Klebsiella oxitocca, Enterobacter cloacae, Proteus vulgaris, Enterococcus faecalis, Enterobacter intermedium, Echerichia coli, Klebsiella pneumoniae. Candiduria asintomática en el tercer mes de vida, que se negativiza al ser tratada con fluconazol.
Exploración: Peso: 5,320 > P3, talla P10-25. Exploración sistemática normal excepto soplo sistólico grado II-III sobre VI con irradiación interescapular y eritema del área del pañal que respeta pliegues.
Exámenes complementarios:
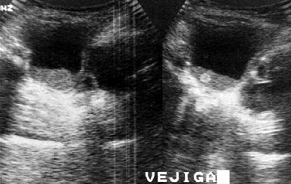
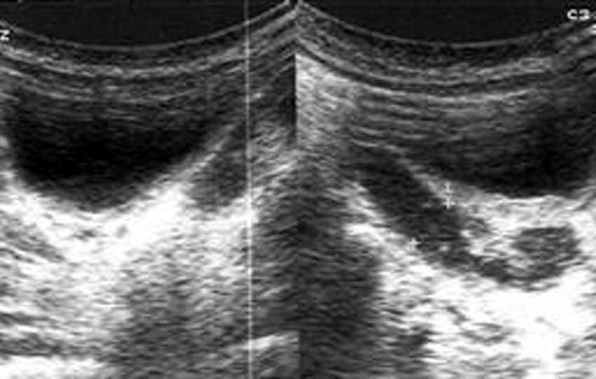
Hemograma: Leucocitosis (16.100/μl) con linfocitosis (61 %) y trombocitosis (686.000/μl). Bioquímica básica, inmunoglobulinas, PCR y función renal: normales. Ecografía abdominal: figuras 1 y 2.
Figura 1. Ecografía de riñón izquierdo: contenido ecogénico móvil, en vejiga y uréter.
Figura 2. Ecografía de uréter izquierdo dilatado con múltiples glóbulos ecogénicos en su interior.
Pregunta
¿Cuál es su diagnóstico?
Bola fúngica secundaria aCandida albicans
Las infecciones de tracto urinario (ITU) por Candida son un problema emergente entre los recién nacidos y niños hospitalizados en unidades de cuidados intensivos. La candiduria puede ser el resultado tanto de una contaminación durante la recogida de orina, como de colonización del tracto urinario o indicativo de infección invasiva 1. Entre los factores de riesgo 2 para la infección por Candida (tabla 1), la presencia de material extraño en el tracto urinario y la obstrucción al flujo son los principales determinantes. La progresión de la infección, puede derivar en la aparición de cúmulos de hifas conocidos como "bola fúngica" o "bezoar fúngico" (fig. 1) que si se extienden a uréter (fig. 2) y pelvis renal pueden derivar en obstrucción, hidronefrosis y lesiones tubulares.
En el caso descrito, cabe destacar la presencia de los siguientes factores de riesgo: malnutrición, repetidos ciclos de tratamiento con antibióticos de amplio espectro y antecedente relativamente cercano de sondaje vesical.
La candiduria asociada a bola fúngica se trata generalmente con anfotericina aunque existen estudios que demuestran la efectividad del fluconazol 3,4. A pesar de ello, continúa existiendo una gran variabilidad en torno al tratamiento antifúngico, no sólo en la decisión de iniciar el tratamiento, sino también en la elección entre los diversos antifúngicos que están a disposición de los clínicos e, incluso, en su dosificación 5,6.
Nuestra paciente, fue tratada con anfotericina B liposomal, con curación, clínica, microbiológica y ecográfica.
Debe valorarse siempre la posibilidad de infección por Candida ante la persistencia de leucocituria y cultivos negativos, sobre todo si existen factores de riesgo.
Correspondencia: Dra. M.ªT. González Martínez.
Servicio de Pediatría. Hospital El Bierzo.
Médicos Sin Fronteras, s/n. 24400 Ponferrada. León. España.
Correo electrónico: teglez@inicia.es; teglez@inicia.es
Recibido en abril de 2005.
Aceptado para su publicación en febrero de 2006.





