Sr. Editor:
Las lesiones polipoideas de la vesícula biliar son muy poco frecuentes en la edad pediátrica. Dada su escasa frecuencia, su tratamiento está todavía por perfilar. A continuación se presenta un caso clínico correspondiente a una paciente remitida a nuestro hospital por presentar una de estas lesiones.
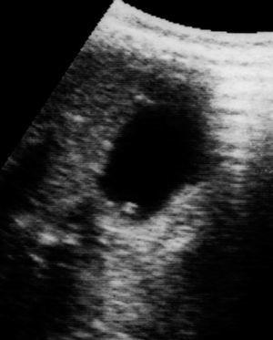
Una niña de 12 años, con antecedentes de nefrectomía izquierda por riñón multiquístico, fue derivada a nuestro servicio por haberse visualizado en una ecografía abdominal, realizada rutinariamente como seguimiento de su patología de base, una lesión polipoidea de 3 mm de diámetro en el fundus de la vesícula biliar. La paciente no tenía síntomas digestivos. Tanto el hemograma como el perfil hepático y la amilasa sérica fueron normales. La exploración física no mostró hallazgos reseñables. En nuestro centro, se repitió la ecografía abdominal, que confirmó la imagen descrita (fig. 1). Se ha optado con respecto a la paciente una actitud conservadora y expectante, a través de la realización de ecografías abdominales seriadas con periodicidad anual.
Figura 1. Lesión polipoidea en el fundus de la vesícula biliar.
Las lesiones polipoideas de la vesícula biliar son infrecuentes en la población pediátrica 1-3. Según nuestro conocimiento, sólo hay 12 casos descritos en la literatura médica. La mediana de edad de presentación es 12 años. No hay predominio de afectación en función del sexo y pueden ser primarias o secundarias. Entre las causas secundarias, cabe destacar: leucodistrofia metacromática, síndrome de Peutz-Jeghers y malunión pancreatobiliar. En el síndrome de Peutz-Jeghers 4, los pólipos son de naturaleza hamartomatosa, pueden crecer de forma notable y sufrir malgnización.
En cuanto a la anatomía patológica 1, 4 casos corresponden a adenomas, dos a heterotopia gástrica, uno es un pólipo de colesterol y uno es un pólipo hiperplásico. No se dispone de datos histopatológicos de los cuatro restantes.
Desde un punto de vista clínico, las lesiones polipoideas de la vesícula biliar pueden cursar de modo asintomático, si bien pueden dar sintomatología de cólico biliar, dolor abdominal inespecífico, náuseas, vómitos, sensación de plenitud, ictericia, acolia o hipocolia y coluria. A su vez, su fragmentación puede derivar en pancreatitis aguda. De los casos pediátricos publicados, el 70 % fueron advertidos en pacientes con dolor abdominal (combinado con fiebre, vómitos y/o plenitud posprandial), y el 30 % fueron diagnosticados en pacientes asintomáticos 1,5,6. El problema resulta en atribuir las manifestaciones clínicas, en especial el dolor abdominal, al pólipo. Posiblemente en los pacientes con dolor abdominal se solicitan más pruebas diagnósticas, por lo que se advierte con más frecuencia su presencia.
Las lesiones polipoideas de la vesícula biliar se suelen diagnosticar a través de ecografía abdominal 2. Esta prueba diagnóstica tiene una sensibilidad y una especificidad mayores del 90 %. La generalización del uso de esta técnica facilitará que, en un futuro, se lleguen a diagnosticar más casos en la edad pediátrica. Las lesiones polipoideas de la vesícula biliar se visualizan como lesiones redondeadas, pediculadas o sesiles, que no varían con los cambios de posición, que se muestran adheridas a las paredes de la vesícula, protruyen hacia la luz vesicular y dejan sombra posterior. En todos los casos descritos en pacientes pediátricos, las lesiones eran únicas. En cuanto al diagnóstico diferencial, debe ser distinguido de las imágenes correspondientes a litiasis y a coágulos de sangre.
El seguimiento de los pacientes con lesiones polipoideas de la vesícula biliar no está bien establecido ni en los pacientes pediátricos ni en los adultos. En un artículo reciente se propone que, durante los primeros 2 años tras su diagnóstico, se han de seguir ecográficamente cada 3-6 meses, al menos en adultos, en quienes el riesgo de malignización es mayor. Pasado este período de tiempo, se deben seguir anualmente 7.
La evolución de las lesiones polipoideas de la vesícula biliar en adultos mostró que hasta el 4 % desaparecen en un plazo máximo de 6 años, el 12-25 % aumentan de tamaño o número en ese plazo de tiempo, el 25 % disminuyen en número o tamaño y el 50-84 % mantienen el tamaño de partida 8.
En cuanto al tratamiento de las lesiones polipoideas de la vesícula biliar en la infancia, cabe destacar que no hay consenso 1, si bien en la mayor parte de los centros se asume los criterios quirúrgicos postulados para el tratamiento en adultos 9,10. En estos últimos, se indica la cirugía cuando la lesión mide más de 10 mm, si el paciente tiene más de 50-60 años, si hay litiasis biliar concomitante, si el aspecto del pólipo es sesil, si aumenta rápidamente de tamaño o si produce clínica. No obstante, aun así, algunos centros proponen la colecistectomía ante toda lesión polipoidea de la vesícula biliar en los pacientes pediátricos. Otros centros defienden la conducta expectante, dada la posibilidad de resolución espontánea de estas lesiones 1. El escaso número de pacientes con esta patología dificulta en gran medida la protocolización de su tratamiento.
Correspondencia: Dr. I. Carabaño Aguado.
Monegros, 8, 3 °C. 28915 Leganés. Madrid. España.
Correo electrónico: carabano1975@hotmail.com



