Se trata de una niña de 2 años de edad, con antecedentes personales de prematuridad y asma bronquial. Acude a urgencias por presentar, desde hace aproximadamente una semana, deterioro del estado general, dificultad respiratoria, fiebre, tos acompañada de vómitos y episodios de diarrea. La paciente fue tratada en su centro de salud como un proceso asmático, persistiendo a la auscultación pulmonar estertores y disminución de murmullo vesicular del pulmón derecho, por lo que se decide enviarla a su hospital de referencia.
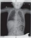
En la exploración física, la paciente presenta mal estado general, leve taquipnea e hipoventilación generalizada en el hemitórax derecho. En el análisis de sangre se aprecia una leucocitosis con neutrofilia. En la radiografía se valora una imagen radiopaca redondeada, compatible con una pila de botón impactada en el bronquio principal derecho y atrapamiento aéreo en el pulmón derecho (fig. 1).
Se realiza una broncoscopia rígida con broncoscopio Storz de 3,5mm, apreciándose una ocupación de la totalidad de la luz del bronquio principal derecho por un material friable de color negro. Tras la eliminación de este material, se visualiza y se extrae el cuerpo extraño (pila de botón de litio), que tenía ambas caras oxidadas, observándose luego una lesión circunferencial de bordes granulomatosos y fondo ulcerado. Dado el riesgo de perforación bronquial, se decide el traslado de la paciente a la UCI pediátrica. A los 8 días de la extracción se realiza una revisión fibrobroncoscópica donde se visualiza una zona necrótica circular (fig. 2) a 1,5cm de la carina traqueal, con una zona necrótica pediculada que estenosa casi en su totalidad dicho bronquio.
En controles mediante fibrobroncoscopia se comprueba la cicatrización de la necrosis circunferencial, que deja una estenosis del 50% de la luz del bronquio principal derecho. Los padres rechazan la realización de nuevas intervenciones a pesar de persistir una sibilancia inspiratoria.
La aspiración/deglución de pilas de botón ha aumentado su incidencia debido a una mayor utilización en aparatos electrónicos1.
A pesar de la alta incidencia de aspiración de cuerpos extraños en estas edades, hasta la fecha solo se tenía constancia de un caso en la literatura médica de una pila en bronquio2. Debido al material con la que están fabricadas (cinc, litio, etc.), y dependiendo del tiempo que lleven impactadas, pueden producir lesiones locales de quemadura, perforación y estenosis por la liberación de sustancias químicas, siendo frecuente su localización a nivel de las fosas nasales, el estómago y el esófago3-7.
En algunas ocasiones, el diagnóstico de aspiración de cuerpos extraños se realiza de forma accidental6, como ocurre en este caso, en el que la paciente en principio fue tratada como un caso de asma.
La diferencia entre el caso anteriormente publicado y este radica en que en aquel la extracción se practicó en las primeras 12 h, no observándose lesiones mucosas2. Por tanto, ante un cuadro respiratorio agudo en la infancia, especialmente con asimetría en la auscultación y con mala respuesta al tratamiento, es importante valorar la posibilidad de un cuerpo extraño bronquial, ya que la posibilidad de lesiones sobre la mucosa bronquial que puedan conllevar complicaciones graves es menor cuanto antes se realice la extracción.




