Sr. Editor:
La hernia diafragmática congénita (HDC) es una anomalía que tiene su origen en la ausencia o defecto de la estructura que forma el diafragma: la membrana pleuroperitoneal posterolateral (hernia de Bochdalek) y tabique transverso dorsal (hernia de Morgagni). El defecto en la izquierda habitualmente es obliterado por el pericardio, por lo que la mayoría de las hernias tienen localización derecha. Está provista de saco, su volumen es variable y protruyen en el hemitórax correspondiente, pero al mismo tiempo mantienen la independencia entre el peritoneo y la cavidad pleural. Esto explica su sintomatología que puede ser de presentación tardía. Las vísceras contenidas habitualmente son: colon, epiplón, ángulo ileocecal, hígado y estómago.
Presentamos una niña de 8 años que es ingresada por ingestión accidental de tóxico no volátil, al encontrar en la radiografía de tórax, una imagen de condensación en lóbulo inferior izquierdo de forma casual.
Antecedentes personales: polihidramnios. Crecimiento retrasado intrauterino. Cesárea por sufrimiento fetal. Apgar, 4/8. Ingresó por hipotonía marcada, dificultad en la alimentación y rasgos dismórficos. Radiografía de tórax y abdomen normales. Ecografía abdominal normal. Estudio esofagogástrico con contraste a los 4 meses de vida, normal. Cariotipo: deleción brazo largo del cromosoma 9. Evolutivamente mantiene obesidad, hipotonía, retraso psicomotor (minusvalía 80 %). No existen antecedentes de problemas respiratorios.
En la exploración al ingreso se observa: Buen estado general. Peso, 41 kg. Retraso psicomotor, obesidad e hipotonía muscular. Normal coloración de piel y mucosas. Abdomen globuloso, depresible, sin visceromegalias. Auscultación cardiopulmonar: hipoventilación de hemitórax izquierdo.
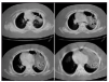
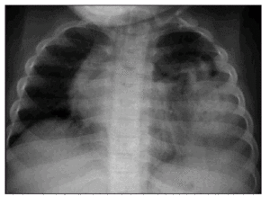
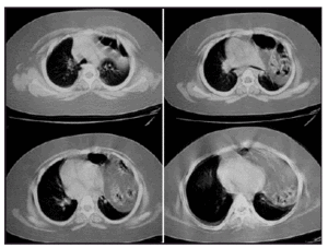
Radiografía de tórax: imagen de condensación que ocupa la mayor parte de hemitórax izquierdo (fig. 1). TC torácica: ocupación del hemitórax por contenido intestinal en región anterior que se extiende hasta ápice pulmonar (fig. 2). Diagnóstico: hernia de Morgagni de presentación tardía y hallazgo casual. Actualmente nuestra paciente está asintomática desde el punto de vista respiratorio y a la espera de la intervención quirúrgica.
Figura 1. Radiografía de tórax. Imagen de condensación que ocupa la mayor parte del hemitórax izquierdo.
Figura 2. TC torácica. Ocupación del hemitórax por contenido intestinal en región anterior del tórax, que se extiende desde las bases pulmonares hasta el vértice pulmonar.
La incidencia global de hernia diafragmática congénita se estima en 1/2.200 recién nacidos vivos1 y dentro de ellas, la de Morgagni representa una minoría, concretamente entre el 5 %2 y el 11 %3-5. Cuando el defecto diafragmático se localiza en la izquierda, recibe el nombre de Morgagni-Larrey6. El 90 % de las hernias de Morgagni ocurren en la derecha, el 8 % son bilaterales, y sólo el 2 % tienen localización izquierda, como sucede en el caso que se presenta. Existe predominio en la mujer en una proporción de 2:11.
La patogenia de la hernia diafragmática congénita es desconocida. El origen congénito se demuestra en los casos en que los síntomas se manifiestan en el período de recién nacido, aunque existen casos descritos fuera del período neonatal, incluso en niños con 14 años4,5.
Hoy se sugiere una etiología multifactorial en la que se implican factores hereditarios en relación con otros síndromes malformativos como los síndromes de Down, Turner, Prader-Willi, Nooan, etc.3,7,8, quiste hepático congénito, hemangioma abdominal, etc. Cuando la hernia de Morgagni se diagnostica en niños mayores y adultos, raramente se acompaña de otras malformaciones congénitas.
Comparado con los adultos, la hernia de Morgagni en niños se asocia con frecuencia a síntomas9. Cuando se manifiesta Morgagni a las pocas horas del nacimiento, los síntomas son consecuencia de la insuficiencia respiratoria aguda por hipoplasia pulmonar o a la afectación gastrointestinal (incarceración visceral)7.
Después del período neonatal, la sintomatología puede ser lenta, inespecífica e insidiosa o bien aparecer de forma aguda con compromiso vital. Los síntomas más frecuentes son gastrointestinales (vómitos, anorexia, dolor abdominal, etc.) por la posible malrotación, volvulación gástrica, perforación del colon, etc.3,10,11 o bien respiratorios en forma de episodios de tos y cianosis5, infecciones respiratorias recurrentes9 e incluso como crisis hipoxémicas, simulando una tetralogía de Fallot12.
La radiografía simple de tórax ocupa el primer lugar en el protocolo de actuación diagnóstica. Los hallazgos radiológicos pueden ser más o menos variables, dependiendo del tipo y la gravedad del defecto. En muchos casos es normal o es inespecífica.
El aspecto típico es el de una opacidad lisa, bien definida, localizada normalmente en el ángulo cardiofrénico derecho. La mayoría muestra densidad homogénea pero en otras ocasiones pierde esta homogeneidad como resultado de contenido gastrointestinal. Así se pueden distinguir imágenes aéreas rodeadas de pared formando burbujas (si el contenido es intestino), una gran traslucencia intratorácica (si presenta herniación de estómago), una opacificación (si lo que existe es contenido líquido) y como masas intratorácicas (en el caso de herniación de vísceras abdominales).
Cuando el diagnóstico por radiología es dudoso, puede recurrirse a otros métodos de imagen entre los que se encuentran el estudio con contraste del aparato digestivo, la ecografía, la tomografía computarizada (TC) y la resonancia magnética (RM)2,3.
La ecografía diafragmática va adquiriendo mayor importancia como método complementario. Puede determinar el defecto diafragmático y el contenido herniario. Además proporciona información sobre el movimiento paradójico de diafragma. En cuanto a la ecografía prenatal raramente nos proporciona el diagnóstico de hernia de Morgagni encontrándose en la literatura médica sólo 3 casos de diagnóstico intraútero13.
En la TC, el defecto del diafragma se demuestra como una interrupción en el mismo. El contenido herniario puede también identificarse sin dificultad, y es útil para el diagnóstico diferencial con otras entidades como la malformación adenomatoidea quística, neumonía estafilocócica, tumores diafragmáticos, etc. Sin embargo, también tiene sus limitaciones al ser una técnica de evaluación de imágenes estática, que podría no identificar claramente el defecto diafragmático si en ese instante no existe herniación6.
La laparoscopia es una técnica segura y efectiva para el diagnóstico definitivo en caso de duda y, al mismo tiempo, tratamiento de la hernia de Morgagni6,10.
El tratamiento de estos niños, desde el punto de vista terapéutico, es controvertido. En general, cuando la hernia se inicia a las pocas horas de vida, la tendencia es la de retrasar la intervención quirúrgica, hasta la estabilización hemodinámica y respiratoria. Si la presentación es más tardía, no se recomienda posponer la intervención por las complicaciones gastrointestinales (malrotaciones, volvulaciones, etc.), recomendándose la cirugía incluso en pacientes asintomáticos. El tratamiento laparoscópico se emplea en niños con hernia de Morgagni de presentación tardía, asintomáticos o con mínimos síntomas respiratorios, pero no en los casos de presentación neonatal14.
En conclusión, la hernia de Morgagni constituye una rara entidad cuyo diagnóstico puede sospecharse en la radiografía de tórax. Es importante tenerla en cuenta en niños sanos que presenten síntomas compatibles, ya que un retraso en el diagnóstico puede dar lugar a aparición de complicaciones, sobre todo digestivas y respiratorias.




