Lactante de 4 meses de edad remitido por masa violácea en la parte posterior del párpado superior derecho (fig. 1), sin otras alteraciones en la exploración oftalmológica. La resonancia magnética mostró una masa intramuscular bien delimitada en el músculo recto superior derecho, con características indicativas de hemangioma, aunque no patognomónico (fig. 2). Se realizó biopsia incisional a los 9 meses. El estudio histológico mostró proliferación de pequeños vasos capilares sin atipia. La inmunohistoquímica fue positiva para GLUT-1, CD34 y WT-1, confirmando el diagnóstico de hemangioma infantil (fig. 3). El paciente inició tratamiento con propranolol oral (Hemangiol®), con buena tolerancia y respuesta clínica1. Las resonancias posteriores evidenciaron involución progresiva y cambios fibróticos.
Imágenes de resonancia magnética. En plano coronal (A) y sagital (B) se observa lesión homogénea hiperintensa en T2 en la parte distal del recto superior del ojo derecho, cerca de la inserción ocular, de 16×14×16mm (diámetros ap×tr×cc), con un borde hipointenso correspondiente a una pseudocápsula, con una difusión facilitada y sin calcificación ni hemorragia dentro de la lesión. C. Se realizó estudio de contraste dinámico, donde se adquirieron imágenes T1 con supresión grasa, observándose una curva arterial/tipo 3 que muestra un rápido ascenso inicial, seguido de un descenso con el tiempo (washout) en la fase retardada. La imagen poscontraste en el músculo recto superior izquierdo muestra un realce homogéneo.
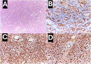
Resultados histopatológicos de la muestra. A. Imágenes histopatológicas con tinciones de hematoxilina-eosina que muestran proliferación de pequeñas estructuras vasculares con disposición nodular sobre un escaso estroma colagenizado; imágenes de inmunohistoquímica con positividad para GLUT-1 (B), WT-1 (C) y CD34 (D).
El hemangioma infantil es el tumor vascular benigno más frecuente en la infancia, ausente en el nacimiento, de aparición en las primeras semanas y evolución trifásica: proliferación, estabilización e involución2. El diagnóstico diferencial incluye el hemangioma congénito rápidamente involutivo, presente desde el nacimiento y de involución espontánea rápida, y el hemangioma congénito no involutivo, que no se modifica con el tiempo y es negativo para GLUT-13.
Este caso destaca por su localización poco habitual y evolución típica de hemangioma infantil orbitario.





