Sr. Editor:
La gastrosquisis es un defecto congénito del cierre de la pared abdominal a nivel paraumbilical derecho, a través del cual se hernia fundamentalmente intestino delgado y grueso, sin encontrarse recubiertos por membrana alguna, a diferencia del onfalocele que sí la presenta. Su incidencia es de 1/10.000 recién nacidos vivos y parece ser que ésta se ha incrementado hasta unas 10 veces en la última década según algunas publicaciones 1-3. Su etiopatogenia no está aclarada aunque el defecto sería consecuencia de la isquemia local por disrupción formativa de la arteria onfalomesentérica derecha 1-4. Otros defectos intestinales, tales como atresia de asas, perforación, malrotación, divertículo de Meckel y vólvulo, se han descrito asociados a la gastrosquisis, siendo excepcional la presencia de anomalías en otros órganos. Como factores de riesgo relacionados con la gastrosquisis destacan, ser madre joven (el riesgo se cuadriplica en menores de 20 años), ser fumadora y haber consumido durante el primer trimestre de la gestación fármacos vasoconstrictores 4,5. No se conocen los factores que favorecen la aparición de estos defectos intestinales asociados. La gastrosquisis suele diagnosticarse en las ecografías de control gestacional, siendo posible su detección a partir de la 14 semana 1. El problema fundamental que estos pacientes presentan es consecuencia del engrosamiento e inflamación de la pared intestinal por el efecto irritante del líquido amniótico, que dificulta la reintroducción del intestino eviscerado pudiendo incluso provocar un síndrome compartimental abdominal si se reubican estas asas a presión. Ni el momento de finalizar la gestación ni la vía por la que llevar a cabo el parto ha demostrado encontrarse asociado a un aumento de la morbimortalidad neonatal 6,7. Lo que sí está claro es que el final de estas gestaciones debe llevarse a cabo en un hospital terciario con unidad de cuidados intensivos neonatales y equipo quirúrgico especializado.
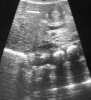
Se presenta el caso de un recién nacido varón fruto de una gestación espontánea y a término en una madre de 19 años. En la ecografía gestacional realizada en la semana 33 se detecta la presencia de gastrosquisis fetal. En los controles ecográficos posteriores se comprobó que la malformación se mantenía estable y se decidió mantener una actitud expectante hasta finalizar el parto por cesárea en la semana 40 de gestación. Al nacer el paciente pesó 2.305 g (p < 10), e inmediatamente se realizó aislamiento y humidificación de las asas evisceradas durante 24-48 h, procediendo posteriormente a la intervención quirúrgica. Tras realizarse ésta con éxito, el paciente precisó analgesia, sedación profunda y ventilación mecánica durante 3 días, nutrición parenteral exclusiva 7 días, comenzando entonces la alimentación enteral con leche materna (LM), administrada por sonda orogástrica (SOG), presentando intolerancia alimentaria y vómitos. A los 13 días de vida, por persistencia de la clínica digestiva, se realiza radiografía de abdomen que muestra dilatación inespecífica de las asas intestinales, iniciándose tratamiento con domperidona vía oral, 0,3 mg/kg/dosis cada 6 h. Tras presentar una mejoría inicial, reaparece la clínica, y es cuando se realiza el tránsito esofagogastroduodenal, objetivándose un stop a nivel del antro. Ante la sospecha de membrana antral se estudia mediante gastroscopia evidenciándose estenosis y dificultad para el paso transpilórico del gastroscopio. Tras descartarse la sospecha diagnóstica de membrana antral y pensando entonces en una compresión extrínseca, se lleva a cabo estudio ecográfico que muestra una estenosis hipertrófica del píloro (fig. 1). El paciente es intervenido a los 28 días de vida mediante piloromiotomía extramucosa según técnica de Ramsted. Es a partir de este momento cuando se produce una mejoría clínica digestiva con tolerancia adecuada a volúmenes de LM cada vez mayores. Nuestro paciente fue dado de alta a los 45 días de vida con un peso de 2.900 g (p < 3) pero con un buen estado general y asintomático. Durante el seguimiento hasta los 4 meses de vida los controles analíticos han sido normales, con curva pondoestatural ascendente.
Figura 1. Imagen ecográfica de estenosis hipertrófica de píloro.
El motivo de la presentación de este caso es el hecho de no haber encontrado ningún caso publicado hasta la fecha de la asociación entre estenosis hipertrófica de píloro y gastrosquisis, además de querer dejar patente a través de nuestra experiencia que a pesar de que estos pacientes de forma casi constante presentan problemas de intolerancia alimentaria como consecuencia de la propia cirugía abdominal y de la hipoperistalsis secundaria a la inflamación de la pared intestinal producida por el efecto irritante del líquido amniótico, no debemos olvidar la posibilidad de otros defectos intestinales asociados, que por su rareza pudieran pasar inicialmente desapercibidos y fueran los responsables de una clínica demasiado prolongada tras haberse realizado la corrección quirúrgica tal y como ocurre en nuestro caso.
Correspondencia: Dr. J.M. Rius Peris.
Pl. Ciudad de la Lisa, 7, pta. 17. 46920 Valencia. España.
Correo electrónico: rius_jua@gva.es



