Introducción
El sistema nervioso y la piel derivan de la misma capa embrionaria, el ectodermo, que entre la tercera y la quinta semana de gestación se separa en ectodermo neural y ectodermo epitelial 1, hecho que coincide temporalmente con el proceso de cierre del tubo neural, que se inicia en la región cervical y se extiende en forma bidireccional. La espina bífida es una posible consecuencia de la alteración de este proceso, y es una entidad nosológica poco frecuente en la bibliografía médica. Esta estrecha asociación embriológica podría explicar la razón por la cual diversas lesiones cutáneas congénitas, muchas veces de aspecto inocente, se asocian frecuentemente a disrafias ocultas del tubo neural 2.
Clásicamente, se distinguen dos tipos de disrafismo espinal: disrafismo espinal abierto (DEA) y disrafismo espinal cerrado u oculto (DEC). El DEA se caracteriza por la exposición del tejido nervioso y meníngeo al exterior a través de un defecto en la línea media, por sus manifestaciones clínicas el diagnóstico suele realizarse de forma precoz en la etapa neonatal. El DEC es una anomalía mesodérmica en la que no hay fusión de los arcos laminares vertebrales y que con frecuencia se acompaña de una ausencia de los procesos espinosos. Esta forma oculta de disrafismo espinal es la más común, y se caracterizada porque el tejido nervioso no está expuesto al exterior, sino que está recubierto por piel; piel que puede ser normal o mostrar signos clínicos de alarma. Esta alteración es más común al nivel de la quinta vértebra lumbar y la primera sacra, pero puede afectar cualquier porción de la columna vertebral. Este tipo de disrafismo comprende una serie bastante heterogénea de malformaciones, que se han agrupado en una clasificación cliniconeurorradiológica 3, teniendo en cuenta la presencia o no de tejido neuroectodérmico visible a lo largo de la columna vertebral, que en la mayoría de los casos es un lipoma.
El diagnóstico de esta anomalía es esencialmente radiológico, ya que la mayoría de los pacientes no presentan síntomas asociados, por lo cual pasa desapercibida y constituye en muchas ocasiones un hallazgo radiológico casual. Cuando aparecen las manifestaciones clínicas, éstas suelen ser muy heterogéneas, con signos y síntomas que se agrupan según los tejidos afectados; cutáneos, óseos, musculares, nerviosos, etc.
Este defecto del tubo neural es de etiología multifactorial, causado probablemente por la interacción de factores ambientales en pacientes con predisposición genética. La alteración en el metabolismo del ácido fólico como única causa, no justificaría las cifras de incidencia que se recogen en la bibliografía 4,5.
Caso clínico
Describimos el caso de una niña colombiana de 11 años de edad, que acudió a la consulta por presentar en tronco lesiones papulosas brillantes de centro umbilicado, de escasos milímetros de diámetro y de 2 meses de evolución discretamente pruriginosas. Dichas lesiones fueron compatibles clínicamente con molluscum contagiosum, para lo cual recibió tratamiento con curetaje lesional.
Durante el examen clínico de la paciente se observó la presencia de una zona de hipertricosis localizada a nivel lumbosacro (según refería su madre la presentaba desde el nacimiento) (fig. 1), junto con escoliosis, aumento de la dorsiflexión lumbar, y aparición de un hoyuelo al flexionar la columna vertebral a dicho nivel. No se observaron alteraciones sensitivas ni esfinterianas y los reflejos osteotendinosos y los estudios urológicos fueron compatibles con la normalidad. El desarrollo pondoestatural era adecuado para su edad.
Figura 1. Hipertricosis abundante en la región lumbosacra (cola de fauno).
Insistiendo en la anamnesis, la madre refería antecedentes de lesiones similares en la familia paterna, con la que no tenía relación alguna. A los pocos meses de vida y en su país de origen, había consultado dicha lesión; fue diagnosticada de una hipertricosis congénita sin relevancia, motivo que justificó que su madre no lo consultara en más ocasiones, dándole tan sólo una importancia estética que le llevaba a su rasuración en épocas estivales. Aquejaba tan sólo una discreta debilidad en miembros inferiores después del ejercicio físico intenso.
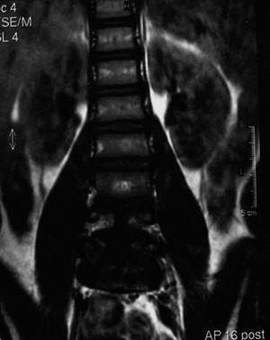
Con el diagnóstico clínico de hipertricosis localizada lumbosacra o cola de fauno y ante el alto índice de sospecha de la existencia de un disrafismo espinal oculto, se solicitó una resonancia magnética de la columna vertebral. Esta prueba de imagen puso de manifiesto la presencia de 2 vértebras (L4-L5) con morfología en mariposa (fig. 2), mostrando a nivel posterior un espolón óseo que divide el canal raquídeo en dos. Están ausentes las apófisis espinosas de dichas vértebras lumbares y de las sacras y a nivel de L3 la médula espinal se divide en 2 hemimédulas (fig. 3A). Estos hallazgos permitieron confirmar la presencia de un disrafismo oculto, compatible con una diastematomielia, apreciando una médula espinal anclada (fig. 3B).
Figura 2.RM: morfología en mariposa de las vértebras lumbares L4 y L5, mostrando un espolón óseo a dicho nivel. Se aprecia además una ausencia de las apófisis espinosas de dichas vértebras lumbares y de los elementos posteriores de las vértebras sacras.
Figura 3. A) RM: detalle de las división medular en dos hemimédulas a nivel de L3.B)RM: detalle de la médula anclada a dicho nivel.
Después de explicar la importancia de la lesión espinal y de su tratamiento precoz para evitar un daño neurológico irreversible, se solicitó valoración por el servicio de neurocirugía donde se le practicó una laminectomía con resección del espolón óseo que permitió la liberación de la médula espinal. La evolución de la paciente después del tratamiento quirúrgico fue favorable.
Discusión
La espina bífida oculta es, en la mayoría de los casos, un hallazgo clínico casual y sin repercusiones clínicas aparentes, pero que debe tenerse en cuenta por la posibilidad de anomalías ocultas asociadas, las cuales deben ser descartadas con estudios de imagen de la zona afectada.
El porcentaje de casos de disrafismo asociado a lesiones cutáneas, es variable, oscilando según los diferentes estudios entre el 51,1 y el 100 % de los casos 6-8. Los marcadores cutáneos pueden ser la única alteración que indique la posible existencia de un DEC (tabla 1), como ocurrió en nuestra paciente, clínicamente asintomática. Por ello la presencia de anomalías cutáneas en la línea media posterior, especialmente a nivel lumbosacro, deben alertar al neonatólogo, al pediatra o al dermatólogo sobre la presencia de lesiones ocultas al mismo nivel. Aunque es preciso destacar que no todas las lesiones cutáneas localizadas en la línea media se asocian a un DEC. Se distinguen lesiones altamente sospechosas de las que conllevan un bajo índice de sospecha 9. Así ante un paciente que presente en la exploración alguno de estos estigmas cutáneos, se debe dirigir el estudio a descartar la existencia de una disrafia oculta, que podría pasar desapercibida y que en ocasiones conlleva la aparición de importantes secuelas neurológicas.
La presencia de una hipertricosis acentuada (cola de fauno), como la que presentaba nuestra paciente, es muy indicativa de un defecto espinal subyacente (se asocia de forma especial con la diastematomielia 6, sin embargo un ligero aumento de vello lumbosacro puede ser un hallazgo normal).
La diastematomielia es una forma rara de disrafia espinal oculta, que se engloba dentro de los estados disráficos complejos no asociados a masa subcutánea. Consiste en una hendidura sagital que divide a la médula espinal en 2 hemimédulas, cada una envuelta por su propia piamadre y separadas por un espolón óseo, cartilaginoso o fibroso. Se observa entre el 5 y el 10 % de la población y que en la mayoría de los casos tiene una localización lumbar 10. El término fue descrito por Olliver en 1837, y deriva del griego diastema que significa hendidura y mielia que se refiere a médula espinal. Fueron escasos los casos publicados antes de 1950 y la mayoría se diagnosticaron postmorten, por ello era una entidad poco conocida 11. Posteriormente, la publicación de 10 casos de pacientes vivos y tratados quirúrgicamente, permitió un mejor conocimiento de esta alteración 12. Después de la década de 1950 mejoró de forma considerable el pronóstico de estos pacientes, gracias al desarrollo de nuevas técnicas diagnósticas, terapéuticas y rehabilitadoras. La diastematomielia es tres veces más frecuente en el sexo femenino y se presenta en cualquier período de la vida, con mayor frecuencia entre los 4 y 6 años de edad, pudiendo tener asociación familiar 13. Es de difícil diagnóstico por la inexperiencia del niño para expresar sus síntomas y por el curso lento y progresivo de los mismos, realizándose en la mayoría de los casos de forma incidental 14. Clínicamente se presenta con alteraciones cutáneas, ortopédicas y con signos o síntomas de disfunción neurológica 15. Los síntomas más frecuentes son escoliosis, dolor lumbar, debilidad, atrofia y alteraciones sensitivas en las extremidades inferiores junto con incontinencia urinaria y/o fecal.
La RM en la actualidad, es el estudio radiológico más sensible para detectar un DEC y como tal debe ser de primera elección en aquellos casos de alta sospecha diagnóstica. Debe realizarse a lo largo de toda la médula, ya que los defectos en la piel no siempre están sobre el disrafismo espinal 16. La mayoría de los disrafismos espinales se asocian a médula anclada 1, y para muchos autores la diastematomielia lleva implícita este síndrome, que se manifiesta clínicamente con alteraciones sensitivomotoras de las extremidades inferiores, que conllevan a deformidades ortopédicas. Es por ello de vital importancia un tratamiento quirúrgico que libere las adherencias que puedan mantener fijada la médula.
En conclusión, queremos destacar que no es fácil el diagnóstico de un DEC. En la mayoría de los casos se realiza en etapas tardías cuando las alteraciones neurológicas ya están presentes. Por ello es preciso permanecer en alerta ante cualquier alteración cutánea de la línea media, por mínima que sea, ya que puede ser indicadora de un DEC. Después del diagnóstico correcto, la cirugía es uno de los elementos terapéuticos principales para evitar las secuelas neurológicas irreversibles que supongan un riesgo para el paciente.
Correspondencia: Dra. M.ª Teresa Bordel Gómez.
Servicio de Dermatología.
Martínez Villergas, 6, 1.º B. 49003 Zamora. España.
Correo electrónico: maitebordel@aedv.es
Recibido en abril de 2005.
Aceptado para su publicación en enero de 2006.






