El quiste broncogénico es una malformación producida durante el desarrollo del árbol traqueobronquial entre la semana 3 y 7 de vida fetal1. Se trata de un quiste solitario lleno de líquido o moco localizado en el 70% de los casos en mediastino. También puede situarse en parénquima pulmonar, en la cavidad pleural y, de forma excepcional, fuera del tórax, en el cuello, la lengua o la piel2,3. Generalmente, no tiene comunicación con la tráquea, los bronquios ni otras estructuras adyacentes2-4.
Se presenta una lactante con diagnóstico prenatal de probable quiste broncogénico, que permanece asintomática y es intervenida de forma programada a los 9 meses de edad.
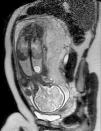
Embarazo controlado; en la ecografía de la semana 12 se detecta una imagen anecoica en el hemitórax izquierdo, que permanece sin cambios en controles posteriores. Se amplía estudio mediante resonancia magnética (RM) en la semana 30 + 4 de gestación (fig. 1), donde se establece como primera posibilidad diagnóstica el quiste broncogénico, planteando diagnóstico diferencial con otras malformaciones broncopulmonares, como el quiste de duplicación esofágico. Parto con fórceps en la semana 41 + 3, peso al nacer 4.150 g y Apgar 7/8; no precisó reanimación; parálisis braquial con fractura clavicular izquierda, sin otras incidencias en el periodo neonatal.
La paciente permanece asintomática, con ganancia ponderoestatural adecuada y desarrollo psicomotor normal. Al mes de vida, se realiza una radiografía de tórax (fig. 2) y RM para confirmación de la sospecha diagnóstica. Se solicita esofagograma que descarta comunicación con el quiste. A los 9 meses de edad, se realiza una quistectomía programada mediante videotoracoscopia. La anatomía patológica confirma el diagnóstico de formación quística, compatible con quiste broncogénico.
El diagnóstico de malformaciones broncopulmonares en el periodo prenatal es cada vez más frecuente gracias a las ecografías de rutina durante el embarazo. Se estima una incidencia de 56 por cada 100.000 nacimientos5. El quiste broncogénico suele aparecer en el mediastino medio o posterior como imagen quística unilocular anecoica, aunque puede visualizarse también un componente hiperecogénico5,6.
Sin embargo, el diagnóstico mediante ecografía resulta difícil; la RM prenatal realizada en torno a la semana 30 ayuda a definir la naturaleza de la malformación, estableciendo el diagnóstico diferencial entre malformación adenomatoidea quística (malformación congénita de las vías aéreas), enfisema lobar congénito, quiste broncogénico, quiste de duplicación entérica, secuestro pulmonar y quiste neuroentérico2,4,7,8. Además, permite establecer las relaciones con estructuras vecinas y estimar el volumen y la maduración pulmonar, datos determinantes en caso de intervención pre o perinatal7,8.
La historia natural del quiste broncogénico es muy variable. Se recomienda hacer un seguimiento ecográfico cada 2 semanas, vigilando posibles complicaciones, como la hipoplasia pulmonar, el polihidramnios por compresión esofágica, el enfisema pulmonar por compresión bronquial9 o el hydrops fetal por compresión cardiaca o venosa2,5. La anasarca constituye un factor de mal pronóstico, haciendo necesaria la intervención prenatal para drenaje del quiste5,6,10.
El distrés respiratorio al nacimiento, en caso de compresión traqueobronquial, puede precisar oxigenación con membrana extracorpórea hasta el momento de la intervención9. Sin embargo, lo más frecuente es la evolución favorable sin sintomatología evidente al nacimiento3-5. La evaluación posnatal de las malformaciones broncopulmonares requiere ecografía con Doppler, radiografía de tórax, esofagograma, RM o TC pulmonar con contraste intravenoso en los 2 primeros meses de vida, siendo esta última la técnica con mayor sensibilidad, estimada del 100%2,5-7. En nuestro caso, se realizó una RM para evitar la irradiación ocasionada por la TC.
El carácter secretor del quiste produce un crecimiento progresivo con riesgo de rotura, fistulización, infección, hemorragia o degeneración tumoral, obligando a la intervención quirúrgica2,3,7. En pacientes asintomáticos no está bien definido el momento quirúrgico, recomendándose entre los 6 y los 24 meses de vida. La cirugía precoz previene la aparición de sintomatología y favorece el desarrollo alveolar posnatal; sin embargo, el riesgo anestésico y quirúrgico es mayor en los primeros meses de vida2,7. Actualmente, existe experiencia en la extirpación del quiste por videotoracoscopia, técnica menos cruenta y mejor aceptada que la toracotomía.
El pronóstico de las malformaciones broncopulmonares depende del tamaño, la localización y la aparición de complicaciones. La RM prenatal mejora el diagnóstico y ayuda a la planificación de una terapia relacionada con su evolución sin sustituir a la ecografía en la detección y seguimiento. En la mayoría de los casos, el quiste broncogénico no produce clínica al nacimiento. El momento más adecuado para su extirpación no está claro, debiéndose hacer un balance entre el riesgo de una intervención quirúrgica precoz y el beneficio de evitar posibles complicaciones y favorecer un correcto desarrollo pulmonar.




