Sr. Editor:
La enfermedad celíaca puede presentarse de forma simultánea con otras enfermedades y la litiasis biliar es infrecuente en pediatría (0,13 % en niños de 6 a 19 años) 1. No hemos encontrado la coexistencia de ambas entidades 1-3 por lo que deseamos comunicar un paciente con esta asociación.
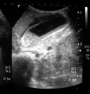
Se trata de un lactante sano de 11 meses que en los últimos 15-20 días presenta episodios de diarrea que alternan con estreñimiento, junto con decaimiento, falta de vitalidad, rechazo del alimento y de forma esporádica vómitos acuosos (no biliosos) y alimenticios. Acude por empeoramiento del estado general, distensión abdominal con dolor a la palpación, pérdida ponderal de 1,5 kg junto con deposiciones diarreicas, líquidas, amarillentas y grumosas, sin moco ni sangre. En la exploración física pesó 8.100 g (P3), con un regular estado general, afebril, decaído y quejumbroso. Pelo rubio ralo, palidez cutánea, ausencia de lágrimas, saliva espesa y lengua geográfica. No presentaba edemas ni adenopatías. El abdomen estaba distendido, doloroso a la palpación profunda y superficial, sin visceromegalias y con buen peristaltismo, la ampolla rectal estaba vacía aunque al realizar un tacto salieron heces líquidas a chorro y luego grumosas, amarillentas, sin moco ni sangre. Exámenes complementarios: Hemograma: 30.500 leucocitos/μl (57 % neutrófilos, 33 % linfocitos, 2,5 % monocitos, 7,5 % eosinófilos). PCR: 349 mg/l, colesterol total: 99 mg/dl, bilirrubina total: 1,16 mg/dl (directa: 0,39 mg/dl), GOT: 43 U/l, GPT: 39 U/l, proteínas totales: 5 g/dl. Creatinina, urea, amilasa, iones e IgA normales. Anticuerpos antiendomisio (+1/160), antitransglutaminasa (75 U/ml) y antigliadina (42,2 mg/l) elevados. La radiología simple de abdomen no presentó alteraciones pero en la ecografía (fig. 1) se apreció una vesícula biliar distendida con paredes engrosadas (6 mm) y con microlitiasis, barro biliar, productos de infección y litiasis de 1 cm a nivel del cuello; parénquima hepático vecino a la vesícula hipoecogénico por edema y vía biliar no dilatada. Todo ello sugestivo de colecistitis aguda litiásica. El empeoramiento del estado general obligó a su traslado a cirugía infantil donde se mantuvo una actitud conservadora con tratamiento antibiótico intravenoso que resolvió el proceso agudo. Días después la biopsia yeyunal mostró atrofia vellositaria subtotal. Tras el alta el paciente ha presentado una excelente nutrición con dieta exenta de gluten y en las repetidas ecografías abdominales, siempre en ayunas, nunca se ha visualizado la vesícula biliar (vesícula excluida).
Figura 1. Ecografía abdominal. Vesícula biliar dilatada con barro biliar en su interior.
La colelitiasis es idiopática en el 60 % de los casos (37 % en menores de 1 año) y puede asociarse con síndromes de malabsorción 1-3, aunque en los lactantes las causas más frecuentes son la nutrición parenteral, cirugía y sepsis 1. Se presenta de forma asintomática, con posible resolución espontánea (sobre todo en neonatos y niños pequeños) 1,4, o bien cursa con complicaciones graves precisando cirugía en el 50 % de pacientes 5,6.
Esta asociación podría no ser casual ya que en los años 1970 era conocida la hipomotilidad intestinal y de la vesícula como signos de celiaquía (se describió un niño celíaco de 2 años con dilatación de la vesícula biliar alitiásica y varios episodios de intususpección) 7; la vesícula biliar comparte plexo e inervación con el plexo mioentérico duodenal; la celiaquía se asocia con inercia, atonía intensa, disminución de la contractibilidad y un vaciado deficiente de la vesícula. Estas alteraciones parecen depender de una secreción endógena disminuida de colecistocinina (CCK) y son reversibles con la dieta exenta de gluten 7-9. Además, la expresión del CCK-AR (receptor A de la CCK) que interviene en la contracción, está significativamente reducido en las vesículas con litiasis y en el ratón sin gen CCK-AR la litiasis biliar está incrementada 10.
A la vista de nuestro paciente, en nuestra opinión se debería descartar la existencia de celiaquía en aquellos niños con colelitiasis y también, probablemente, buscar sistemáticamente la litiasis biliar en los niños celíacos.
Correspondencia: Dr. F. Aleixandre Blanquer.
Camino Colonia Romana, 12, 9.º A.
03016 Alicante. España.
Correo electrónico: fblanquer@mixmail.com


