La cistitis eosinofílica (CE) es una afección caracterizada por la inflamación de la pared vesical, es extremamente rara y de etiología aún desconocida. Los síntomas son inespecíficos, siendo el diagnóstico por histología y el tratamiento, en la mayoría de los casos, conservador.
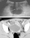
Se trata de un niño de 3 años y 5 meses de edad que acudió al Servicio de Urgencias por disuria, con cerca de 2 meses de evolución, que se fue agravando progresivamente, manifestando fiebre en los últimos días (temperatura máxima 38,1°C) acompañado de leucorrea. Junto con estos síntomas, manifestaba anorexia y una pérdida ponderal de cerca de 7% en el último mes. Los antecedentes personales y familiares eran irrelevantes. En el examen objetivo presentaba, en general, un buen estado, peso de 14,7kg, temperatura axilar de 36,4°C, presión arterial 105/70mmHg y frecuencia cardíaca de 100bpm, con mucosas coloradas e hidratadas, sin adenopatías palpables y con abdomen doloroso a la palpación en el hipogastrio, sin defensa. El resto del examen objetivo no presentaba alteraciones relevantes. Resultados del estudio analítico: hemoglobina 11,3g/dL (11,1-14,1); leucocitos 8.430/μL (5-15) con 3,4% eosinófilos; velocidad de sedimentación 33mm/1a h; funciones renal y hepática, normales, e ionograma sin alteraciones. Marcadores tumorales: alfafetoproteína y antígeno carcinoembrionario normales; enolasa específica de las neuronas aumentada (16,5ng/mL [valores de referencia < 12,5ng/mL]). Análisis de orina sin alteraciones y urocultivo negativo. Serologías: inmune a los virus de Epstein-Barr, de la varicela zóster, el herpes simple, el citomegalovirus y la rubéola. La ecografía mostraba una formación expansiva de la pared anterosuperior de la vejiga con cerca de 4,5×3,8×2,0cm, que indicaba un proceso infiltrativo, compatible con rabdomiosarcoma. Ante la sospecha de enfermedad oncológica, se realiza una tomografía axial computarizada, que confirma la lesión vesical, no siendo visibles otras alteraciones expansivas toracoabdominales, por lo que se le realiza una biopsia incisional (fig. 1). El estudio histológico revelaba infiltración eosinofílica de la pared vesical, característica en la CE (fig. 2). Se inició corticoterapia (metilprednisolona), observándose una reducción significativa de la lesión después de 3 semanas de tratamiento, completado hasta las 12 semanas. El seguimiento, a los dos años, no refleja enfermedad clínica y/o por imagen.
La CE es una enfermedad inflamatoria caracterizada por la infiltración de eosinófilos en las paredes de la vejiga. Aunque afecte a niños y adultos, es muy raro en aquellos, existiendo cerca de 30 casos1 referidos en la literatura desde 1960 (el primer caso fue descrito por Brown). Ocurre con mayor frecuencia en niños de sexo masculino y con edades superiores a los 6 años. La fisiopatología es incierta: aparentemente la lesión ocurre por la liberación de citocinas y agentes de quimiotaxia que dependen de los eosinófilos, liberación desencadenada por IgE. En el 29% de los casos se han relacionado los siguientes predisponentes: historia de enfermedad vesical, cirugía previa al aparato genitourinario, infecciones bacterianas y víricas, parasitosis, asma, enfermedades oncológicas, historia personal de alergias alimentarias (tomate, zanahoria) y a medicamentos (penicilina, sulfamidas)2,3. Los síntomas son inespecíficos y varían entre disuria, polaquiuria, hematuria y dolor suprapúbico, pudiendo mimetizarse en una infección urinaria. Analíticamente, la eosinofilia periférica surge en el 40-50% de los casos, siendo raro el aumento de las IgE4. El análisis de orina puede presentar hematuria y piuria, habiendo sido positivo el cultivo solo en el 20,5% de los casos5. Al nivel de las imágenes, las alteraciones pueden variar desde un espesamiento de la pared vesical a una formación vegetante, que sugiere un tumor, siendo el rabdomiosarcoma el principal diagnóstico diferencial en el niño6. El diagnóstico definitivo de la CE es histológico, caracterizado por un edema de la submucosa, con infiltración inflamatoria mixta con predominio eosinofílico.
De acuerdo con la literatura, la CE es un proceso autolimitado, en la mayoría de los niños. Han sido aplicadas varias opciones terapéuticas basándose en la fisiopatología: vigilancia, antibióticos, antihistamínicos, corticoides e inmunosupresores7. Recientemente, se han descrito casos en la literatura sobre la utilización de un inhibidor de las citocinas, suplatast tosilate, aplicado como un medicamento antialérgico en el tratamiento del asma y rinitis, con resultados satisfactorios5. A pesar de evolucionar favorablemente, la inexistencia de guías terapéuticas y de seguimiento hace que este se prolongue. Existe riesgo de recidivas y de lesión renal (aunque es raro), especialmente en las formas seudotumorales de la CE.
Este caso clínico viene a destacar la importancia de conocer las enfermedades raras y, probablemente, infradiagnosticadas en los niños. La sintomatología inespecífica puede indicar cistitis y los hallazgos ecográficos pueden indicar un tumor. Por eso, es necesario un índice de sospecha para la realización de un diagnóstico y puesta en marcha de una conducta terapéutica adecuada.




