Introducción
La atelectasia crónica maxilar (ACM) es una enfermedad poco frecuente, que se caracteriza por una disminución del volumen del seno maxilar, con retracción de todas las paredes sinusales, y una retención de secreción mucosa en el interior del seno. En 1964 Montgomery 1 describió 2 casos de enoftalmos y opacificación del seno maxilar, pero el término "atelectasia del seno maxilar" fue introducido por Isaacs et al 2 en 1991.
En la serie de Kass et al 3, en la que se revisaron 22 nuevos casos de ACM, los síntomas/signos nasales y sinusales sólo estaban presentes en el 32 % de los pacientes. Esta ausencia de manifestaciones nasosinusales ha propiciado su denominación también como "sinusitis silente". Sin embargo, en la mayoría de los casos descritos los pacientes tenían deformidades orbitarias y faciales, así como alteraciones principalmente limitadas al seno maxilar y al meato medio.
El mecanismo causal no está claro, Gillman et al 4 proponen que una hipoventilación del seno maxilar secundaria a la obstrucción del complejo ostiomeatal podría crear una presión negativa, que va generando una retracción de las paredes del seno, pudiendo producirse descenso de la pared inferior de la órbita.
El interés de esta enfermedad radica en el hecho de que es poco conocida, y no debe confundirse con una sinusitis maxilar, puesto que su fisiopatología, su sintomatología y su tratamiento son distintos. Se presenta el caso de una niña de 14 años con atelectasia de seno maxilar, con discretos síntomas de rinitis, sin repercusión estética ni funcional, que fue diagnosticada a partir del estudio de una imagen de opacidad en seno maxilar que persistía pese a tratamiento antibiótico correcto.
Observación clínica
Paciente mujer de 14 años que fue remitida a consultas externas de alergia infantil por síntomas de rinitis de carácter perenne, de aproximadamente un año de evolución. Asociaba accesos de tos pertusoide, de 2 semanas de evolución. No refería otra sintomatología. No refería traumatismo ni intervención otorrinolaringológica previa.
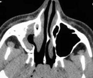
La exploración clínica fue normal. No se observó tumefacción ni palidez de la mucosa nasal. Tampoco se apreciaban asimetrías faciales. La exploración endoscópica nasal revelaba un discreto desplazamiento lateral de la apófisis unciforme. Los resultados de prick-test fueron negativos. La radiografía de tórax no mostraba alteraciones patológicas. En la radiografía de senos paranasales se apreciaba una ocupación completa del seno maxilar derecho, por lo que fue diagnosticada de sinusitis maxilar, y se le pautó tratamiento antibiótico. En la radiografía realizada 2 semanas más tarde se mantenía la imagen de ocupación, por lo que se decidió realizar una TC, en la que se apreciaba una opacificación parcial del seno maxilar derecho, con desplazamiento lateral de la pared infundibular medial, con incipiente descenso de la pared orbitaria inferior y retracción de la mucosa del meato medio, sin niveles hidroaéreos endosinusales (figs. 1 y 2). Dada la ausencia de signos, síntomas y complicaciones, la actitud terapéutica ha sido expectante. Si se produjera una evolución hacia el enoftalmos, se propondría tratamiento quirúrgico dirigido a la liberación del ostium del seno maxilar.
Figura 1.TC de senos paranasales (proyección coronal) en la que se observan los criterios diagnósticos típicos: opacificación y disminución de tamaño del seno maxilar, desviación lateral de la pared infundibular medial y retracción de la mucosa sinusal.
Figura 2.TC de senos paranasales (proyección axial). En esta imagen se aprecia la retracción de la mucosa sinusal, el menor tamaño del seno maxilar derecho, así como la incipiente retracción ósea.
Discusión
La ACM es una enfermedad infrecuente, de la que se han descrito muy pocos casos en niños o adolescentes jóvenes 5. En ocasiones, la opacificación completa del seno con retracción de la pared infundibular medial se ha diagnosticado simplemente como hipoplasia del seno maxilar (HSM), y, aunque en ocasiones la ACM y el HSM pueden coexistir 6, también pueden manifestarse aisladamente.
La causa de ACM no está clara, pero puede considerarse como factor predisponente toda disfunción del ostium del seno maxilar 7. El aislamiento del aire en este seno maxilar conllevará una reabsorción del contenido gaseoso del seno por la circulación venosa, generándose una presión negativa intrasinusal con retracción de sus paredes 8. La denominación de este proceso patológico ya indica, de hecho, un mecanismo patogénico similar al de la atelectasia pulmonar.
Los factores predisponentes pueden ser congénitos, como un crecimiento exagerado de la parte posterior de la pared infundibular medial, un infundíbulo demasiado estrecho o malformaciones anatómicas del cornete o del tabique nasal 5,7,9. Factores adquiridos, como una inflamación del meato medio podría desencadenar una obstrucción valvular del ostium natural, perpetuando el mecanismo obstructivo 5,7,9. En este sentido, toda enfermedad rinítica crónica puede actuar como factor favorecedor.
La enfermedad afecta exclusivamente al seno maxilar. Esta especificidad en la localización se debe a las características anatómicas de este seno: gran cavidad aérea, de paredes finas, cuyo drenaje se realiza contra la fuerza de la gravedad por la situación alta del ostium, que aboca a la altura de una apófisis unciforme incompletamente fijada y parcialmente movilizable. Es por ello que, en un primer tiempo evolutivo, el bloqueo ostiomeatal genera una retracción atelectásica de la apófisis unciforme, que agrava la obstrucción ostial, estableciéndose así un círculo vicioso que cronifica el proceso 10.
Los criterios diagnósticos radiológicos de ACM incluyen opacificación del seno maxilar, desviación lateral de la pared infundibular medial y retracción de la mucosa sinusal 3-5,9-11. Estos criterios están presentes en el caso que aportamos (figs. 1 y 2).
La actitud terapéutica en pacientes pediátricos debe adoptarse en función de la presencia de síntomas asociados y sinusitis recurrentes 5. La indicación quirúrgica debe ser restrictiva, puesto que, por una parte, la restauración de la ventilación en un seno previamente hipoplásico puede tener escaso o nulo impacto sobre el crecimiento posterior y, además, la ACM por sí misma no se ha asociado constantemente con secuelas clínicamente significativas. Por otro lado, no hay evidencia de que los pacientes pediátricos no tratados presenten deformidades orbitarias o cosméticas importantes, como ocurre en el adulto 5,11. Si durante la evolución se produce enoftalmos, estaría indicado el tratamiento quirúrgico, que consiste en restaurar la normal aireación del seno maxilar, resecando su pared infundibular 10.
Es importante conocer esta enfermedad (infrecuente, aunque probablemente infradiagnosticada), para poder descartarla en casos de opacidades radiológicas del seno maxilar de evolución tórpida pese a un tratamiento antibiótico correcto. En estos casos se recomienda 1efectuar un estudio más completo (TC), puesto que un tratamiento antibiótico prolongado únicamente generaría yatrogenia sin beneficio alguno.




