Sr. Editor:
La fiebre y el dolor abdominal son consultas frecuentes en pediatría y obligan a descartar desde enfermedad abdominal urgente hasta procesos más comunes como gastroenteritis, pielonefritis o neumonía. Aunque la incidencia es baja, ante un caso de fiebre prolongada sin foco y dolor abdominal, debe considerarse el absceso hepático.
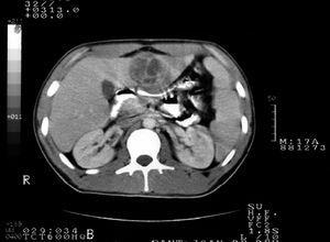
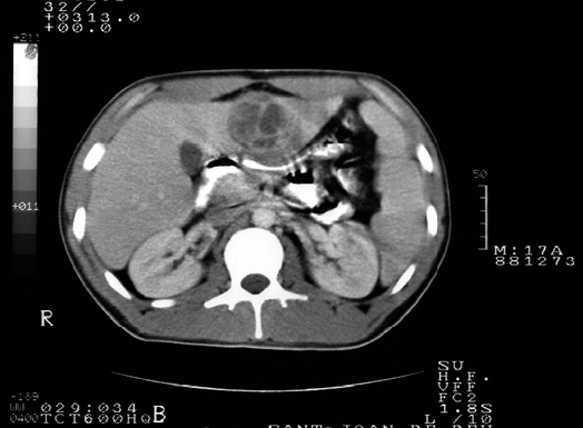
Paciente varón de 17 años con fiebre y dolor abdominal hace 8 días, vómitos y diarreas. Deportista de élite sin antecedentes. No refiere traumatismo, ingesta de productos lácteos no pasteurizados ni viajes exóticos. Presenta un excelente estado general y dolor abdominal generalizado, sin masas, visceromegalias ni signos de irritación peritoneal. Se realizan determinaciones analíticas (leucocitos 13.400 μl; 74 %, neutrófilos segmentados; 6 %, neutrófilos bandas; proteína C reactiva, 19,6 mg/dl; función renal y hepática normales) y hemocultivos seriados. La radiografía de tórax y abdomen y el sedimento de orina son normales. Tras 48 h persiste febril, con dolor en el epigastrio. Con sospecha de enfermedad biliar se solicita una ecografía abdominal que muestra imagen quística en lóbulo hepático izquierdo compatible con absceso piógeno, y se confirma por TC abdominal (fig. 1). Se realiza punción-aspiración con aguja fina (PAAF) obteniendo 45 ml de líquido purulento. Se inicia tratamiento con piperacilina-tazobactam y metronidazol quedando afebril a las 48 h. En la muestra crece un microorganismo anaerobio que no es posible identificar. Los hemocultivos y las serologías (Entamoeba histolytica, Toxocara, Equinococcus granulosus y Bartonella henselae) son negativos. El estudio inmunitario básico (inmunoglobulinas totales y subclases y poblaciones linfocitarias) normal no sugiere síndrome de Papillon-Léfèvre, a pesar de constatarse periodontitis. Tras 3 semanas de antibioterapia presentó un pico febril (38 °C) y exantema cutáneo con neutropenia grave (neutrófilos absolutos 84/μl, serie roja y plaquetaria normal) de posible origen medicamentoso. Se suspenden los antibióticos utilizados y el metamizol, iniciándose meropenem. La punción medular muestra hiperplasia con detención de la serie blanca en fase de mielocitos/metamielocitos y eosinofilia. Se administró factor estimulador de colonias granulocíticas, recuperándose el recuento de neutrófilos. Tras 4 semanas de antibioterapia intravenosa se da el alta con pauta de amoxicilina-ácido clavulánico oral durante 4 semanas. La evolución clínica analítica es favorable, con normalización ecográfica a los 2 meses de iniciar el tratamiento.
Figura 1. Imagen quística en lóbulo hepático izquierdo.
El absceso hepático en edad neonatal se relaciona con cateterización de la vena umbilical y sepsis. En escolares se asocia a inmunodeficiencia y a traumatismo abdominal 1. Actualmente los más afectados son los mayores de 60 años con enfermedad biliar, diabetes y/o inmunosupresión 2. Nuestro caso no presenta factores predisponentes, aunque no puede descartarse un traumatismo abdominal, dada su profesión.
Los abscesos piógenos tienen como origen más frecuente la vía biliar, aunque en el 30 % son idiopáticos 2,3. Los microorganismos más habituales son Staphylococcus aureus4,5 y bacilos entéricos gramnegativos 6 (muchos son polimicrobianos). La fiebre (en picos, febrícula o fiebre de origen desconocido) es el síntoma más frecuente (90 %). En caso de localización subfrénica puede presentarse sintomatología respiratoria y dolor referido a hombro derecho. La epigastralgia se presenta si existe afectación del lóbulo izquierdo. Los abscesos múltiples se asocian a presentaciones agudas y graves, incluso shock séptico. A la exploración destaca hepatomegalia y/o masa palpable. La ictericia es poco frecuente y obliga a descartar enfermedad biliar. La analítica puede mostrar hipoalbuminemia, asociada a mal pronóstico, y elevación de la fosfatasa alcalina 7. La hipertransaminasemia e hiperbilirrubinemia no siempre están presentes. Se ha descrito la asociación de abscesos hepáticos con alteraciones inmunitarias, periodontitis e hiperqueratosis palmoplantar en el síndrome de Papillon-Léfèvre 8. La ecografía es la primera prueba de imagen que se debe realizar demostrando la lesión en el 80-90 % de los casos y descarta enfermedad biliar asociada. La TC abdominal es la prueba de elección, con una sensibilidad cercana al 100 %. El diagnóstico etiológico requiere el cultivo de pus y/o hemocultivo. El tratamiento de elección es la antibioterapia, para enterobacterias, cocos grampositivos y anaerobios durante 2-4 semanas en caso de lesiones solitarias y 12 semanas en caso de abscesos múltiples, y PAAF 9. En ocasiones está indicado el mantenimiento de un catéter de drenaje hasta confirmar el colapso de la cavidad por TC 10. El abordaje quirúrgico se reserva para los casos sin respuesta al tratamiento conservador, abdomen agudo, enfermedad biliar que requiera drenaje, o bien lesiones inaccesibles. Actualmente la mortalidad es del 10-15 %. Las complicaciones pueden ser por diseminación hematógena, local, rotura, trombosis vascular, fistulización cutánea e iatrogenia.
El absceso hepático, aunque extremadamente raro en la población pediátrica, debe incluirse en el diagnóstico diferencial de dolor abdominal y fiebre de origen desconocido, por su elevada mortalidad y necesidad de tratamiento precoz y enérgico.



