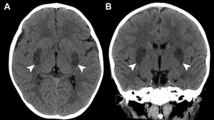
Niño de dos años y un mes acudió con varios días de fiebre, vómitos, irritabilidad y debilidad progresiva en las extremidades. A su llegada se encontraba somnoliento (escala de coma de Glasgow [GCS] E3 V3 M5) y hemodinámicamente estable. La analítica fue anodina, mientras que la prueba de antígenos respiratorios fue positiva para adenovirus. La tomografía computarizada (TC) cerebral sin contraste mostró hipodensidades simétricas bilaterales en los ganglios basales (fig. 1). El paciente fue ingresado en la unidad de cuidados intensivos por deterioro progresivo del nivel de conciencia. Los resultados del análisis del líquido cefalorraquídeo fueron anodinos, y los cultivos bacterianos y virales, negativos. Se administraron inmunoglobulina intravenosa, bolos de corticoides, manitol y cuidados de soporte. Posteriormente, en la resonancia magnética (RM) se observó restricción simétrica de la difusión en los ganglios basales (fig. 2), compatible con encefalopatía necrosante aguda de la infancia. El estudio metabólico descartó errores innatos del metabolismo. El paciente recibió el alta clínicamente estable, con alteración del lenguaje y labilidad emocional residuales.
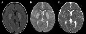
A)RM en corte axial en secuencia T2 FLAIR que muestra hiperintensidades simétricas bilaterales en los ganglios basales. B)Difusión restringida en imagen ponderada en difusión (DWI). C)El mapa ADC (coeficiente de difusión aparente) correspondiente revela un núcleo hipointenso central rodeado por un borde hiperintenso, compatible con encefalopatía necrosante aguda de la infancia.
La encefalopatía necrosante aguda de la infancia es una encefalopatía fulminante asociada a infecciones, que presenta una mortalidad alta y secuelas importantes a largo plazo entre los supervivientes1. Las lesiones simétricas de los ganglios basales y el tálamo son signos radiológicos característicos y se aprecian mejor en la TC y la RM ponderada en difusión (DWI)2. Debido al mal pronóstico de esta enfermedad, aun con tratamiento, resulta esencial reconocer rápidamente estos hallazgos característicos en el ámbito de urgencias para poder intervenir a tiempo y maximizar la probabilidad de una evolución favorable3.
FinanciaciónEste trabajo no ha recibido financiación externa.
Consideraciones éticasEl estudio fue aprobado por el Comité de Ética del MacKay Memorial Hospital, Taipéi, Taiwán (código 25MMHIS404e).
Conflicto de interesesLos autores declaran no tener ningún conflicto de intereses.




