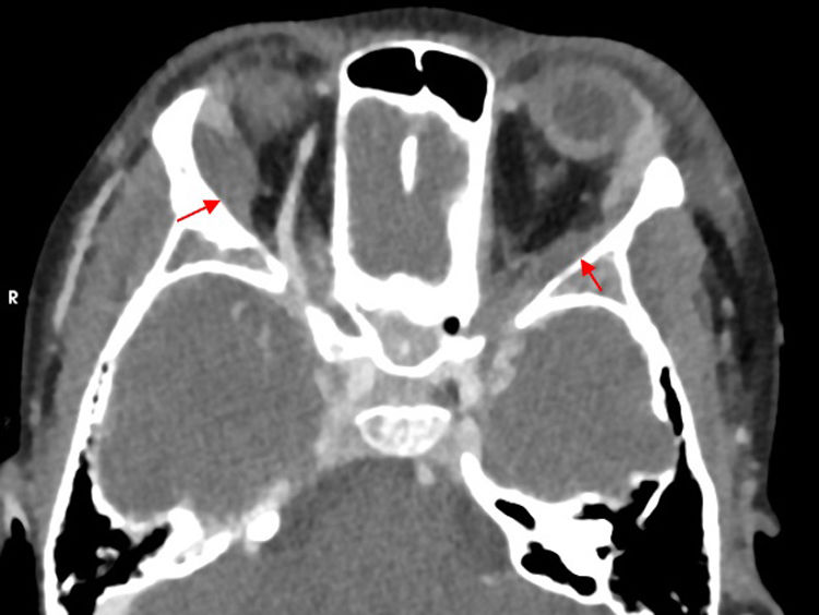
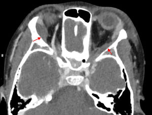
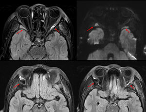
We present the case of an eight-year-old patient with sickle cell disease homozygous for HbS (with no family history) managed with prophylactic amoxicillin, hydroxyurea and folic acid, under annual follow-up, with a previous admission due to a vaso-occlusive crisis in the leg and no other relevant history. She was admitted to the sending hospital with suspected vaso-occlusive crisis in the extremities and abdominal pain and transferred to our hospital due to progressive deterioration with fever, hepatomegaly and splenomegaly extending to the iliac crest, in addition to painful bilateral periocular edema in absence of phlogosis or changes in vision (Fig. 1). The bloodwork revealed a decreased hemoglobin concentration and platelet count and elevated hemolysis markers, with a proportion of sickle hemoglobin (HbS) of 44.3% and a C-reactive protein level of 17.7 mg/dL. Splenic sequestration and orbital cellulitis were suspected,1,2 leading to administration of supplemental oxygen, analgesia with continuous infusion of morphine, two red blood cell transfusions and intravenous antibiotherapy. The orbital CT scan (Fig. 2) showed bilateral involvement of soft tissues in the outer periorbital region, bordering the orbital rim and extending posteriorly, a finding that could be compatible with extramedullary hematopoiesis or a lymphoproliferative disorder. The head MRI (Fig. 3) ruled out nervous system involvement and showed areas suggestive of infarction in the great wings of the sphenoidal bones with secondary hemorrhagic effusion.3 The blood culture and the antibody test for Epstein-Barr virus were negative. A diagnosis of bone infarction was made and antibiotherapy discontinued, with full clinical resolution in seven days.
The Impact Factor measures the average number of citations received in a particular year by papers published in the journal during the two preceding years.
© Clarivate Analytics, Journal Citation Reports 2025
SRJ is a prestige metric based on the idea that not all citations are the same. SJR uses a similar algorithm as the Google page rank; it provides a quantitative and qualitative measure of the journal's impact.
See moreSNIP measures contextual citation impact by wighting citations based on the total number of citations in a subject field.
See more





