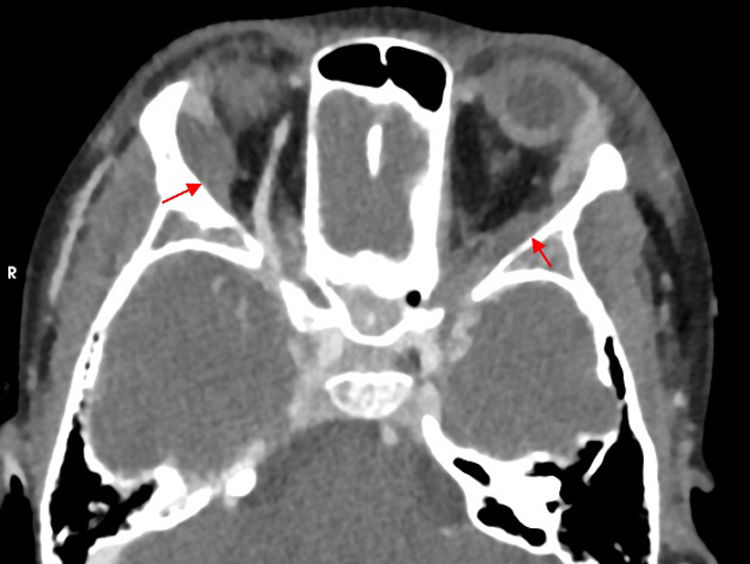
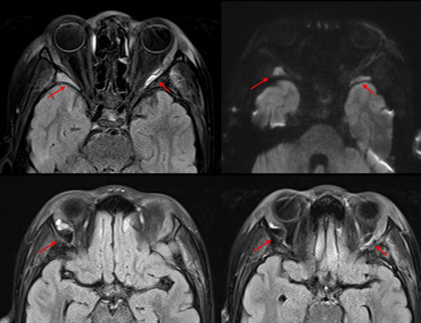
Paciente de 8 años con enfermedad de células falciformes homocigota (sin antecedentes familiares), tratada con amoxicilina profiláctica, hidroxiurea y ácido fólico, en seguimiento anual y con un ingreso previo por crisis vasooclusiva en pierna, sin otros antecedentes. Ingresa con sospecha de crisis vasooclusiva en extremidades y abdominalgia en hospital de origen, y se deriva a nuestro centro por deterioro progresivo, con fiebre, hepatomegalia y esplenomegalia hasta cresta ilíaca, así como tumefacción dolorosa periocular bilateral, sin flogosis ni alteración visual (fig. 1). Analítica con descenso de hemoglobina y plaquetas, elevación de parámetros de hemólisis, HbS 44,3% y PCR de 17,7mg/dL. Sospecha de secuestro esplénico y celulitis orbitaria1,2, se administran oxigenoterapia, analgesia en perfusión contínua de morfina, dos transfusiones de hematíes y antibioterapia endovenosa. TAC de órbita (fig. 2) con componente de partes blandas en región periorbitaria externa bilateral, siguiendo el margen óseo y con extensión posterior, compatible con posible hematopoyesis extramedular o proceso linfoproliferativo. RMN craneal (fig. 3) descarta afectación nerviosa mostrando áreas sugestivas de infarto en alas mayores esfenoidales y efusiones hemorrágicas secundarias3. Hemocultivo y serología a VEB negativos. Se orienta como infarto óseo y se suspende antibioterapia, con mejoría clínica completa a los siete días.
The Impact Factor measures the average number of citations received in a particular year by papers published in the journal during the two preceding years.
© Clarivate Analytics, Journal Citation Reports 2025
SRJ is a prestige metric based on the idea that not all citations are the same. SJR uses a similar algorithm as the Google page rank; it provides a quantitative and qualitative measure of the journal's impact.
See moreSNIP measures contextual citation impact by wighting citations based on the total number of citations in a subject field.
See more





